Người đàn ông 58 tuổi phát hiện ung thư mũi từ dấu hiệu nhiều người Việt bỏ qua
Nghẹt mũi hơn 1 năm, ông Lăng, 58 tuổi đi khám từng được chẩn đoán có khối u nhỏ trong mũi, nay đi khám phát hiện ung thư mũi.
Phát hiện ung thư mũi từ dấu hiệu nghẹt mũi
Trước đây, ông Lăng từng được bác sĩ chẩn đoán có khối u trong mũi, nhưng chưa có triệu chứng bất thường nên ông không tái khám, tiếp tục điều trị. Gần đây, ông có tình trạng chảy máu mũi nhiều nên đến PKĐK Tâm Anh Quận 7 khám.
ThS.BS.CKI Trương Tấn Phát, Trưởng Đơn vị Tai Mũi Họng xử trí cầm máu, khám lâm sàng và nội soi mũi họng ghi nhận khối u lấp đầy hốc mũi trái, che kín cửa mũi sau và vùng hòm kèm chảy máu.
Bác sĩ nội soi mũi cho bệnh nhân. Ảnh: BVCC
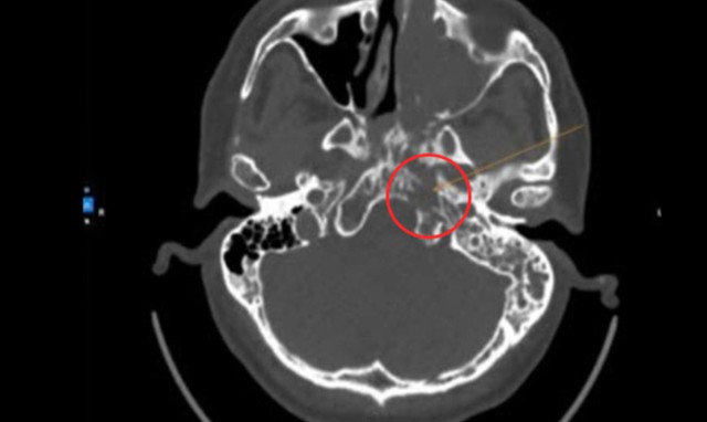
Kết quả chụp CT-scan ghi nhận tổn thương choán chỗ xoang hàm trái, lan vào hốc mũi qua lỗ thông xoang. Tổn thương lan vào lấp đầy xoang sàng, xoang trán và xoang bướm trái, phát triển về phía cửa mũi sau trái, lấp đầy vòm mũi họng hai bên. Tổn thương hủy xương clivus (xương nằm ở nền sọ) trái, tụ dịch khí chũm bào trái và quanh các xương con bên trái, theo dõi hạch góc hàm trái.
Bác sĩ Phát chẩn đoán người bệnh viêm mũi xoang xuất tiết, theo dõi u hốc mũi. Qua đánh giá trên lâm sàng và hình ảnh học, nghi ngờ khối u ác tính, chỉ định sinh thiết.
Ung thư mũi sống được bao lâu?
Bác sĩ Phát nội soi lấy mô khối u gửi sinh thiết. Kết quả là ung thư hốc mũi, dạng biểu mô tế bào vảy. Hội chẩn liên chuyên khoa, bác sĩ chỉ định phẫu thuật cắt khối u ác tính và xương bị xâm lấn.
Hình ảnh CT-scan ghi nhận khối u hốc mũi che lấp vùng vòm họng người bệnh. Ảnh: BVCC
Theo bác sĩ Phát, ung thư mũi chủ yếu được điều trị bằng phẫu thuật nội soi cắt trọn khối u cùng mô xung quanh.
Dựa trên kết quả giải phẫu mô bệnh học, bác sĩ sẽ xác định hướng điều trị tiếp theo (hóa, xạ trị). Với ung thư mũi, phát hiện và điều trị càng sớm, tiên lượng càng tốt. Tỷ lệ sống sau 5 năm của ung thư hốc mũi – xoang cạnh mũi giảm dần theo mức độ lan rộng: 82% khi u còn khu trú, 52% khi lan đến hạch lân cận và 42% khi đã di căn xa.
Dấu hiệu cảnh báo ung thư mũi
Các triệu chứng ban đầu của ung thư hốc mũi thường không đặc hiệu, dễ nhầm lẫn với viêm xoang, polyp mũi thông thường, bao gồm nghẹt mũi, chảy máu mũi, giảm khứu giác.
Để chẩn đoán ung thư cần khám lâm sàng, nội soi tai mũi họng, xét nghiệm chẩn đoán hình ảnh (chụp MRI, CT…), sinh thiết.
Cần làm gì khi phát hiện u hốc mũi
U hốc mũi thường lành tính (polyp mũi, u nhầy mũi xoang, u xơ vòm họng…), thường phát triển chậm và ít nguy hiểm, tuy nhiên vẫn cần theo dõi và điều trị kịp thời. U lành tính có thể diễn tiến thành ung thư khi gặp một số nguy cơ cao như tiếp xúc thường xuyên với hóa chất, bụi gỗ, da, khói thuốc lá, nhiễm virus HPV và yếu tố di truyền.
Bác sĩ Phát khuyến cáo, người bệnh nên khám định kỳ, loại bỏ sớm các khối u bất thường và tránh tiếp xúc với yếu tố nguy cơ ngăn khả năng tiến triển thành ung thư. Đồng thời, khi xuất hiện triệu chứng bất thường ở tai, mũi, họng như nghẹt mũi không khỏi, mất khứu giác, chảy máu mũi… nên đi khám càng sớm càng tốt để bác sĩ chẩn đoán và điều trị kịp thời.
Nguyên nhân gây ngứa hậu môn thường không rõ ràng và rất khó phân biệt. Vì vậy, nếu tình trạng ngứa kéo dài, trở nên nghiêm trọng hơn hoặc kèm theo...
Nguồn: [Link nguồn]
-18/11/2025 15:57 PM (GMT+7)

