Ngoài thuốc lá, yếu tố nào làm tăng nguy cơ ung thư khoang miệng?
Ung thư khoang miệng là một trong những bệnh ung thư thường gặp ở vùng đầu - cổ. Bệnh có thể tiến triển âm thầm trong giai đoạn đầu nên hay bị phát hiện muộn khi đã xuất hiện những tổn thương rõ rệt trong khoang miệng.
Nguyên nhân chính xác gây ung thư khoang miệng hiện nay vẫn chưa được xác định hoàn toàn. Tuy nhiên, nhiều nghiên cứu đã chỉ ra rằng có nhiều yếu tố nguy cơ có thể làm tăng khả năng mắc bệnh. Việc nhận biết và hạn chế những yếu tố này đóng vai trò quan trọng trong phòng ngừa ung thư khoang miệng.
Nguy cơ ung thư khoang miệng
Thuốc lá làm tăng nguy cơ ung thư khoang miệng
Thuốc lá được xem là yếu tố nguy cơ lớn nhất của ung thư khoang miệng. Các nghiên cứu cho thấy phần lớn bệnh nhân ung thư khoang miệng có liên quan đến việc sử dụng thuốc lá.
Thuốc lá chứa hàng nghìn hóa chất độc hại, trong đó có nhiều chất gây ung thư. Khi hút thuốc, các chất độc này tiếp xúc trực tiếp với niêm mạc miệng, gây tổn thương tế bào và làm tăng nguy cơ biến đổi thành tế bào ung thư. Tất cả các hình thức sử dụng thuốc lá đều làm tăng nguy cơ mắc bệnh, bao gồm thuốc lá điếu, xì gà, thuốc lá nhai, thuốc lá hít hoặc thậm chí là hút thuốc lá ngược đầu.
Theo thống kê, chỉ khoảng 2–10% bệnh nhân mắc các ung thư vùng đường hô hấp và tiêu hóa trên là không hút thuốc lá.
Nếu trong gia đình có người mắc ung thư khoang miệng hoặc các loại ung thư khác, nguy cơ mắc bệnh cũng có thể cao hơn.
Rượu bia
Bên cạnh thuốc lá, rượu bia cũng là một yếu tố nguy cơ quan trọng của ung thư khoang miệng. Rượu có thể gây kích thích và làm tổn thương niêm mạc miệng, khiến các tế bào dễ bị biến đổi. Khi sử dụng rượu bia thường xuyên, niêm mạc miệng có thể bị viêm và trở nên nhạy cảm hơn với các tác nhân gây ung thư.
Đáng chú ý, rượu và thuốc lá có tác dụng hiệp đồng với nhau. Nếu chỉ sử dụng một trong hai yếu tố này, nguy cơ mắc ung thư có thể tăng khoảng 2–3 lần. Tuy nhiên, khi kết hợp cả hút thuốc và uống rượu, nguy cơ mắc bệnh có thể tăng lên tới 15 lần so với người không sử dụng. Thống kê cho thấy chỉ dưới 3% bệnh nhân ung thư đường hô hấp và tiêu hóa trên không uống rượu.
Nhiễm virus HPV
Virus HPV (Human Papillomavirus) là một trong những yếu tố nguy cơ ngày càng được chú ý trong các nghiên cứu về ung thư khoang miệng và ung thư vùng đầu -cổ.
Một số chủng HPV có khả năng gây biến đổi tế bào và làm tăng nguy cơ ung thư. Virus này có thể lây truyền qua tiếp xúc trực tiếp, bao gồm cả quan hệ tình dục bằng đường miệng.
Tiếp xúc nhiều với ánh nắng mặt trời
Việc tiếp xúc thường xuyên với ánh nắng mặt trời trong thời gian dài có thể làm tăng nguy cơ ung thư môi - một dạng ung thư thuộc nhóm ung thư khoang miệng. Tia cực tím (UV) trong ánh nắng có thể gây tổn thương DNA của tế bào da và niêm mạc môi, từ đó làm tăng nguy cơ hình thành tế bào ung thư.
Những người làm việc ngoài trời trong thời gian dài như nông dân, công nhân xây dựng hoặc ngư dân thường có nguy cơ cao hơn.
Các yếu tố nguy cơ khác
Ngoài những yếu tố kể trên, ung thư khoang miệng còn có thể liên quan đến một số yếu tố khác như:
Những người từng mắc ung thư khoang miệng có nguy cơ tái phát hoặc mắc ung thư ở vị trí khác trong khoang miệng cao hơn. Nếu trong gia đình có người mắc ung thư khoang miệng hoặc các loại ung thư khác, nguy cơ mắc bệnh cũng có thể cao hơn.
Hệ miễn dịch suy yếu khiến cơ thể khó chống lại các tác nhân gây bệnh, từ đó làm tăng nguy cơ ung thư. Chế độ ăn thiếu vitamin và khoáng chất, đặc biệt là vitamin A, C, E có thể làm giảm khả năng bảo vệ của niêm mạc miệng. Nam giới có nguy cơ mắc ung thư khoang miệng cao gấp khoảng 2 lần so với nữ giới. Điều này được cho là liên quan đến tỷ lệ hút thuốc và uống rượu ở nam giới cao hơn.
Triệu chứng cảnh báo ung thư khoang miệng
Ung thư khoang miệng có thể biểu hiện bằng nhiều triệu chứng khác nhau. Trong giai đoạn đầu, các dấu hiệu thường khá mơ hồ nên dễ bị bỏ qua.
Một số triệu chứng thường gặp ung thư khoang miệng:
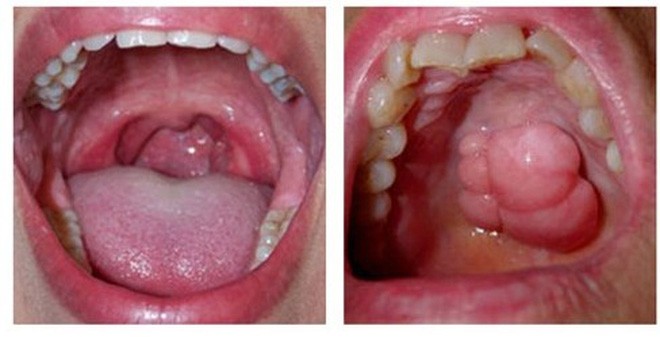
- Vết loét ở môi hoặc trong miệng lâu ngày không lành. Xuất hiện khối u hoặc vùng mô bất thường trong khoang miệng
- Chảy máu trong miệng không rõ nguyên nhân
- Răng lung lay bất thường
- Đau hoặc khó nuốt, khó lắp hoặc đeo răng giả
- Xuất hiện khối u hoặc hạch ở vùng cổ
- Đau tai kéo dài
- Sụt cân không rõ nguyên nhân
- Tê vùng môi dưới, mặt, cổ hoặc cằm
- Xuất hiện các mảng trắng hoặc đỏ trên niêm mạc miệng hoặc môi
- Đau họng kéo dài
- Đau hoặc cứng hàm
- Đau lưỡi
Một số triệu chứng như đau họng hoặc đau tai cũng có thể gặp trong nhiều bệnh lý khác. Tuy nhiên, nếu những biểu hiện này kéo dài, không cải thiện sau một thời gian hoặc xuất hiện nhiều triệu chứng cùng lúc, người bệnh nên đến cơ sở y tế để được kiểm tra.
Tóm lại: Ung thư khoang miệng nếu được phát hiện ở giai đoạn sớm có khả năng điều trị hiệu quả hơn và tiên lượng sống của người bệnh cũng tốt hơn. Vì vậy, việc kiểm tra răng miệng định kỳ, duy trì lối sống lành mạnh, hạn chế thuốc lá và rượu bia là những biện pháp quan trọng giúp giảm nguy cơ mắc bệnh.
Theo Tổ chức Y tế thế giới (WHO), mỗi năm có gần 390.000 ca ung thư miệng mới trên toàn cầu, trong đó 66,3% là ở châu Á.
Nguồn: [Link nguồn]
-21/03/2026 06:00 AM (GMT+7)
