Hy hữu bé gái 13 tuổi bị đột quỵ
Nhập viện sau khi đột ngột hôn mê sâu, các bác sĩ xác định bệnh nhi bị vỡ dị dạng mạch máu não, biến chứng nặng trên nền bệnh cơ tim xốp. Đây là bệnh lý tim hiếm gặp, rất nguy hiểm ở trẻ em.
Ngày 5/10, thông tin từ khoa Cấp cứu Bệnh viện Nhi Đồng 1 (TPHCM) cho biết, bệnh viện vừa tiếp nhận bệnh nhi H.T.T.T. (13 tuổi, ngụ TPHCM) trong tình trạng hôn mê sâu, phải thở máy, huyết áp thấp và được duy trì bằng thuốc vận mạch. Trước đó, khi đang ngủ, bé T. bất ngờ có biểu hiện thở ngược, mất ý thức. Gia đình lập tức đưa bé đến bệnh viện địa phương thì được bác sĩ chẩn đoán bị xuất huyết não, sốc tim và nhanh chóng chuyển bé đến Bệnh viện Nhi Đồng 1.
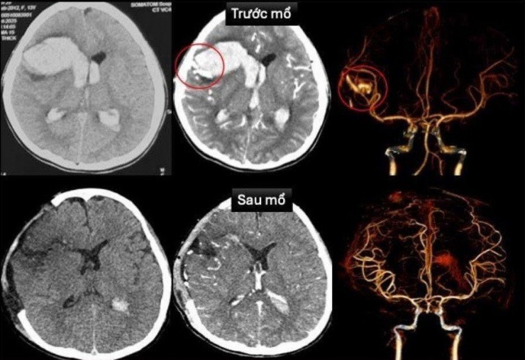
Tại đây, kết quả chụp cắt lớp vi tính sọ não dựng hình mạch máu cho thấy bé bị vỡ dị dạng động – tĩnh mạch vùng trán bên phải gây xuất huyết lan vào nhu mô não và não thất. Qua siêu âm tim, bác sĩ đồng thời phát hiện trẻ mắc bệnh cơ tim xốp. Đây là tình trạng thành cơ tim có cấu trúc xơ rỗng, dễ gây rối loạn nhịp và suy tim.
Vùng xuất huyết do vỡ dị dạng mạch máu não ở bệnh nhi trước và sau phẫu thuật
Ngay trong đêm, ê kíp liên chuyên khoa của Bệnh viện Nhi Đồng 1 gồm Tim mạch, Ngoại thần kinh, Hồi sức ngoại và Cấp cứu đã khẩn trương hội chẩn và tiến hành can thiệp song song: Bác sĩ tim mạch đặt máy tạo nhịp tạm thời để ổn định nhịp tim, trong khi ê kíp ngoại thần kinh thực hiện phẫu thuật mở sọ giải áp, vi phẫu cắt bỏ dị dạng mạch máu và lấy máu tụ trong não.
Sau ca phẫu thuật, bệnh nhi được hồi sức tích cực, tiếp tục thở máy, dùng thuốc vận mạch và điều trị chống phù não. Nhờ sự phối hợp chặt chẽ của các chuyên khoa, tình trạng bệnh nhi dần cải thiện, ý thức phục hồi tốt.
Hiện tại, bệnh nhi đã tỉnh táo, có thể trò chuyện, chỉ còn yếu nhẹ chân phải. Hình ảnh chụp não sau mổ không còn dị dạng mạch máu, chức năng tim hồi phục tốt. Bé đã được rút máy tạo nhịp, ngưng thuốc vận mạch và chuẩn bị xuất viện.
Các bác sĩ cho biết, đây là một trường hợp hiếm gặp. Bệnh nhân vừa bị dị dạng mạch máu não, vừa mắc bệnh cơ tim xốp. Cả hai bệnh lý đều nguy hiểm, có thể đe dọa tính mạng trong vài phút nếu không được chẩn đoán và xử trí kịp thời.
|
Theo các chuyên gia Bệnh viện Nhi Đồng 1, đột quỵ ở trẻ em tuy hiếm nhưng có xu hướng tăng. Khi trẻ có biểu hiện yếu liệt đột ngột, nói khó, mất ý thức hoặc thở bất thường, phụ huynh cần nhanh chóng đưa đến bệnh viện có khả năng cấp cứu thần kinh – tim mạch nhi. Việc phát hiện và can thiệp sớm có thể giúp cứu sống và bảo tồn chức năng não, tim cho trẻ. |
Thời tiết trở lạnh khiến số ca đột quỵ gia tăng, không ít người trẻ bất ngờ ngã quỵ giữa lúc học tập, làm việc.
Nguồn: [Link nguồn]
-05/11/2025 12:51 PM (GMT+7)
