Chồng đột quỵ trong nhà vệ sinh, vợ nhanh tay vắt chanh vào miệng 'cầu may'
Trong lúc đặt ống nội khí quản với người đàn ông đột quỵ, các bác sĩ đã hút ra khá nhiều nước cốt chanh và cả cặn thuốc còn đọng trong họng do người nhà cho dùng trước đó.
Ông H.V (43 tuổi, trú tại phường An Lạc, TPHCM), được người nhà gọi cấp cứu trong tình trạng nguy kịch nghi do đột quỵ. Theo gia đình, trước đó ông hoàn toàn khỏe mạnh, không có biểu hiện bất thường. Sáng 17/11, như thường lệ, khi người thân chờ lâu, họ đã lên tầng kiểm tra và tá hỏa phát hiện ông gục trong nhà vệ sinh.
Gia đình lập tức gọi 115. Trong lúc chờ lực lượng cấp cứu đến, người vợ cuống cuồng vắt chanh vào miệng chồng với hy vọng "cầu may".
Theo bác sĩ Nguyễn Thắng Nhật Tuệ - Trưởng khoa Cấp cứu, Bệnh viện Gia An 115 (TPHCM), khi nhân viên cấp cứu tiếp cận, bệnh nhân đã rơi vào tình trạng lơ mơ, chỉ còn đáp ứng với đau, liệt hoàn toàn nửa người trái và mất khả năng ngôn ngữ. Huyết áp đo được cực kỳ cao: 248/184 mmHg. Sau khi xử trí ban đầu, ê-kíp lập tức chuyển bệnh nhân đến bệnh viện để can thiệp khẩn cấp.
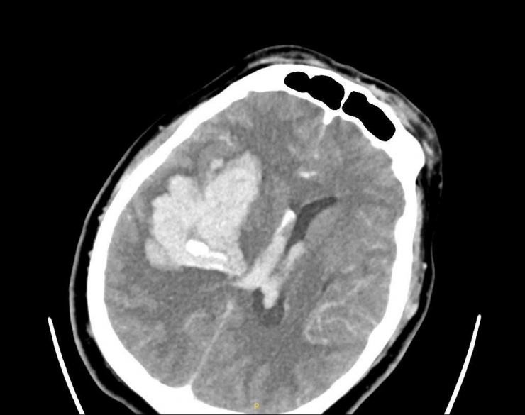
Hình ảnh phim chụp bệnh nhân bị xuất huyết não lượng lớn bán cầu phải. Ảnh: BVCC.
Kết quả CT não cho thấy ông V. bị xuất huyết não diện rộng. Bệnh nhân được đặt nội khí quản để bảo vệ đường thở và chuyển mổ cấp cứu ngay lập tức. Trong quá trình đặt ống nội khí quản, bác sĩ hút ra rất nhiều nước cốt chanh và cả cặn thuốc đọng trong họng. Nguyên nhân do người nhà cho bệnh nhân uống chanh, thuốc và chất lỏng tràn vào đường thở, làm người bệnh nguy kịch nhanh hơn. Sau một ngày cấp cứu, hiện bệnh nhân vẫn phải nằm hồi sức tích cực.
Khai thác thêm từ người nhà, bác sĩ được biết ông V. từng nhiều lần đi cấp cứu vì huyết áp cao. Mặc dù được kê thuốc điều trị, mỗi khi thấy khỏe lại ông thường bỏ thuốc.
Bác sĩ nhấn mạnh đột quỵ không chừa bất kỳ ai, nhưng nhiều trường hợp có thể phòng tránh nếu uống thuốc đúng chỉ định và không xử trí sai trong lúc chờ cấp cứu.
Từ vụ việc, bác sĩ Tuệ khuyến cáo 3 việc cần nhớ:
- Trường hợp của ông V. thêm một lần cảnh báo rằng tăng huyết áp, đặc biệt ở người trẻ đang ngày càng phổ biến và nguy hiểm. Việc bỏ thuốc, tự xem nhẹ chỉ số huyết áp hoặc xử trí sai lúc cấp cứu có thể cướp đi cơ hội sống sót.
- Gọi cấp cứu 115 ngay, mở cửa nhà, dọn đường và theo dõi hô hấp tuần hoàn cho tới khi nhân viên y tế đến.
- Sơ cứu đột quỵ đúng cách: Nếu nghi ngờ người thân bị đột quỵ và rơi vào trạng thái hôn mê, sơ cứu phải hoàn toàn khác so với người còn tỉnh táo. Bệnh nhân hôn mê, không đáp ứng, cần đặt ở tư thế nằm nghiêng an toàn: Đầu thấp, miệng mở. Tư thế này giúp chất nôn hoặc đờm dãi thoát ra ngoài, tránh trào ngược vào đường thở gây suy hô hấp.
Khi bệnh nhân bất tỉnh, lơ mơ hoặc yếu liệt, tuyệt đối không cho uống bất cứ thứ gì, kể cả nước hay nước chanh. Điều này rất dễ gây sặc, tắc đường thở, khiến tình trạng nguy kịch hơn.
Trong thực tế, nhiều gia đình vẫn thực hiện các biện pháp dân gian như chích máu ở dái tai, nặn máu ở đầu ngón tay, ngón chân, bôi vôi vào lòng bàn tay, để bệnh nhân nằm bất động hàng giờ mà không đưa đến bệnh viện. Đây đều là các hành động phản khoa học, gây chậm trễ “thời gian vàng” cứu chữa, thậm chí cản trở quá trình điều trị do gây tổn thương thêm cho bệnh nhân.
Bác sĩ Tuệ cho biết thêm, nếu người nhà đã nghi ngờ đột quỵ, nguyên tắc bắt buộc là đưa bệnh nhân đến bệnh viện càng sớm càng tốt. Mỗi phút trôi qua, hàng triệu tế bào não bị tổn thương vĩnh viễn.
Các khuyến cáo y tế đều chỉ ra rằng, uống rượu bia quá mức làm tăng đáng kể nguy cơ đột quỵ. Mới đây, các nhà nghiên cứu phát hiện ra lượng rượu một...
Nguồn: [Link nguồn]
-18/11/2025 10:28 AM (GMT+7)
