Giải mã bí ẩn bệnh ma cà rồng dưới góc nhìn khoa học
Ma cà rồng là một sinh vật huyền thoại trong văn học thường được miêu tả là xác người chết sống dậy và tồn tại được nhờ máu của người hoặc máu động vật, chúng có sức mạnh và có nhiều khả năng biến đổi kỳ lạ.
Trên thực tế, các nhà khoa học cho rằng một căn bệnh di truyền có tên porphyria và một số rối loạn hormon khác là nguyên nhân gây ra hiện tượng bí ẩn này. Mới đây, các nhà nghiên cứu đã khám phá ra bí mật về di truyền học giúp giải thích rõ hơn về các sinh vật huyền bí của bóng tối - ma cà rồng.
Các huyền thoại về ma cà rồng
Ma cà rồng là chủ đề thường xuyên của văn học dân gian, điện ảnh hay khoa học viễn tưởng. Thời Ai Cập cổ, nữ thần Sekhmet trong huyền thoại cũng trở nên cuồng khát máu sau khi sát sinh và chỉ có thể thỏa mãn khi uống rượu cồn màu máu. Trong dân gian châu Âu lưu truyền những câu chuyện về ma cà rồng, tiếng Pháp gọi là Vampire đêm đêm sống lại gọi tên từng người quen và hút máu của họ. Đặc điểm nổi bật của ma cà rồng là hút máu người, sợ ánh sáng, chỉ xuất hiện vào ban đêm dưới hình dạng một con dơi hoặc một con sói. Đến năm 1897, cuốn tiểu thuyết kinh điển “Dracula” được viết bởi nhà văn Bram Stoker ra đời với nhân vật chính là Bá tước Dracula - một ma cà rồng chuyên hút máu người với những hình phạt vô cùng dã man và tàn bạo dựa trên nhân vật có thật trong lịch sử chính là Vlad Tepes III, càng khiến niềm tin rằng ma cà rồng là sinh vật có thật.
Ma cà rồng (ảnh minh họa)
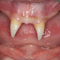
Những tổn thương do bệnh ma cà rồng của một bệnh nhân Việt Nam.
Hội chứng chuyển hóa porphyrine
Cuối thế kỷ 20, có nhiều nghiên cứu về ma cà rồng và năm 1963, một bác sĩ người Anh có tên Lee Illis đã giải thích về hiện tượng này là do chứng rối loạn chuyển hóa porphyria - chứng bệnh cực hiếm này sinh ra do sự mất cân bằng trong sản sinh heme - một sắc tố giàu chất sắt trong máu. Người mắc phải chứng bệnh này sẽ rất sợ ánh sáng mặt trời do cơ thể họ sẽ phải chịu đau đớn về thể xác do hermoglobin trong máu sẽ bị phân hủy dưới tác động của tia tử ngoại. Ngoài ra, người bệnh phải đối mặt với những rối loạn về hormon dẫn đến tình trạng móng tay, móng chân mọc dài, cứng và cong lại. Lông mọc trên toàn cơ thể, lớp da quanh môi và lợi mỏng, co hơn khiến răng lộ ra như những chiếc nanh sói. Vì lớp da quanh môi mỏng nên dễ bị tổn thương dẫn đến thường chảy máu miệng. Đây chính là hình ảnh khiến người ta liên tưởng đến việc hút máu người.
Các thầy thuốc trước đây chữa căn bệnh này bằng cách cho bệnh nhân uống máu tươi để cân bằng sự thiếu máu trong cơ thể. Chính vì vậy, câu chuyện về ma cà rồng đã được thêu dệt thêm và truyền từ đời này sang đời khác. Ngoài ra, bệnh nhân mắc porphyrine thường có miệng, răng màu đỏ do hoạt động sinh sắc tố heme không ổn định, phân của họ cũng có màu tím. Chứng porphyria cũng có tính di truyền. Tuy nhiên, những giải thích của các bác sĩ thời đại này vẫn chưa thể lý giải một cách đầy đủ về những câu chuyện của ma cà rồng khiến người ta vẫn suy đoán về căn bệnh này là một căn bệnh huyền bí.
Khám phá mới về di truyền học
Một đột biến về gene được khám phá gần đây đã giúp các nhà nghiên cứu có cái nhìn sâu sắc và toàn diện hơn về căn bệnh này. Việc biết được gene nào gây ra tình trạng porphyria có thể đưa đến cách điều trị căn bệnh này và thậm chí ngăn ngừa căn bệnh ngay từ khi có những triệu chứng đầu tiên.
Porphyria là một thuật ngữ chỉ một nhóm các rối loạn gây ra từ sự tích tụ bất thường của porphyrin trong máu. Porphyrin được sử dụng để tạo hemoglobin - phân tử trong tế bào hồng cầu có chức năng mang ôxy đi khắp cơ thể và làm hồng cầu có màu đỏ tươi. Tình trạng tích tụ porphyria ảnh hưởng đến hệ thần kinh và da, gây ra các rối loạn khác và tùy thuộc vào nơi tích tụ porphyria sẽ gây ra các triệu chứng khác nhau. Các nhà nghiên cứu từ Trung tâm Ung thư Bệnh viện Nhi Boston, Mỹ cho biết, ma cà rồng thực chất là những người mắc hội chứng erythropoietic protoporphyria (EPP) - đây là một đột biến gene và gây ảnh hưởng tới lượng ôxy trong máu. Chứng bệnh này gây ảnh hưởng đến cơ chế phân tử của cơ thể trong quá trình tạo heme (sắc tố đỏ) - một thành phần trong protein vận chuyển ôxy hemoglobin. Khi heme kết hợp với sắt sẽ tạo thành màu đỏ cho máu nhưng biến thể của gene - có tên ferrochelatae ảnh hưởng đến quá trình sản xuất heme tạo thành những biểu hiện khác nhau của bệnh porphyria. Các nhà nghiên cứu cũng phát hiện ra rằng, bất cứ một khiếm khuyết nào của gene cũng ảnh hưởng đến quá trình tổng hợp porphyrin - xảy ra chủ yếu ở gan và tủy xương - đều khiến quá trình sản xuất heme bị ảnh hưởng dẫn tới sự hình thành các thành tố protoporphyrin. Đối với những bệnh nhân EPP, một loại protoporphyrin có tên protoporphyrin IX được tích trữ trong tế bào hồng cầu, huyết tương và gan khiến nó sản sinh ra các thành tố hóa học phá vỡ kết cấu của các tế bào xung quanh. Đây là lý do tại sao bệnh nhân EPP bị đau, rát, da có nốt đỏ khi tiếp xúc với ánh sáng mặt trời. Tuy nhiên, trong nhiều trường hợp bệnh nhân EPP, các nhà khoa học không thể giải thích được lý do tại sao protoporphyrin IX được hình thành cho tới khi họ phát hiện trong trình tự sắp xếp gene, có một biến thể mới ở gene là CLPX - gene có vai trò trong quá trình tổng hợp ti thể. TS. Barry Paw, tác giả nghiên cứu cho biết: “Đột biến mới phát hiện này cho thấy sự phức tạp trong hệ thống gene - nền tảng của quá trình trao đổi heme - sẽ là chìa khóa cho việc phát hiện nguyên nhân chính xác gây bệnh porphyria từ đó có thể mở ra phương pháp điều trị cho căn bệnh này trong tương lai”.
Truyền thuyết về ma cà rồng đã tồn tại qua nhiều thế kỷ. Một nghiên cứu mới đây cho thấy loài hút máu này có thể...

