Vì sao ung thư ngày càng 'tấn công' người trẻ?
Ung thư ở người trẻ đang gia tăng nhanh chóng và không còn là hiện tượng hiếm gặp. Các chuyên gia cảnh báo lối sống, môi trường và thói quen sinh hoạt hiện đại là...
Một lần cháy nắng, nốt ruồi bị cọ xát liên tục, trầy xước hay vết thương không được xử lý đúng cách... Những việc tưởng...
Chỉ trong ba tháng, người phụ nữ 32 tuổi quê Sơn La hai lần đối mặt lằn ranh sinh tử vì đột quỵ, từng hôn...
Người đàn ông phát hiện ung thư gan giai đoạn cuối, bỏ lỡ cơ hội điều trị vì nhầm cơn đau âm ỉ kéo dài...
Phát hiện sớm và phòng ngừa vẫn là vũ khí hiệu quả nhất trong phòng bệnh ung thư, do vậy cần chú ý những dấu...
Nhiều sản phẩm gia dụng có hóa chất chống dính, tẩy rửa hoặc đồ uống chứa chất tạo ngọt có thể tiềm ẩn nguy cơ...
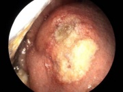
Ngày 14/1, thông tin từ Bệnh viện Quân y 175 cho biết, tại đây vừa tiếp nhận và điều trị cho một trường hợp bị...
Nam bệnh nhân 58 tuổi mắc ung thư lưỡi, khởi phát từ vết loét nhỏ kéo dài gần một năm nhưng âm thầm tiến triển...
Một cơ chế viêm nhiễm chưa từng được biết đến trước đây có thể khiến một loại ung thư phổi "sát thủ" phát triển mạnh...
Chỉ 10-12 phút vận động cường độ cao cũng đủ làm thay đổi thành phần máu, kích hoạt các tín hiệu sinh học làm chậm...
Việc sử dụng thực phẩm bẩn trong thời gian dài làm gia tăng nguy cơ mắc các bệnh ung thư trong đó có ung thư...
Hà Nội - Rối loạn tiêu hóa kéo dài, sụt cân, người đàn ông đi khám phát hiện mắc hai loại ung thư tại hai...
Ung thư phổi có tỷ lệ tử vong cao do phần lớn bệnh nhân được phát hiện ở giai đoạn muộn, khiến việc điều trị...
Ngày càng nhiều người mắc ung thư phổi do phát hiện muộn, vậy căn bệnh này nguy hiểm thế nào và dấu hiệu ung thư...
Tế bào ung thư bị 'kích hoạt" thành bệnh khi cơ chế kiểm soát của cơ thể bị phá vỡ bởi lối sống, môi trường...
Tế bào ung thư có thể tồn tại trong cơ thể, nhưng chế độ ăn uống lành mạnh và cách chế biến an toàn đóng...
Một nghiên cứu mới được công bố trên tạp chí Nature Communications đã làm rõ cách mà một loại ung thư nguy hiểm khởi phát.
Người đàn ông bị ung thư thực quản di căn hạch có thói quen hút thuốc lá và uống rượu mỗi ngày...
Chiều 28-3, một xe tải cháy dữ dội trên cao tốc Cam Lâm – Vĩnh Hảo khiến giao thông ùn ứ nghiêm...