Bác sĩ thót tim gắp đèn LED nằm trong phế quản bé 9 tháng tuổi
Bóng đèn LED có phần đuôi sắc nhọn nằm trong phế quản bé 9 tháng khiến bác sĩ phẫu thuật gặp nhiều khó khăn khi can thiệp.
Ngày 27-4, Bệnh viện Nhi Đồng 1 TPHCM cho hay vừa xử trí thành công gắp 1 chiếc đèn LED trong phế quản bệnh nhi 9 tháng tuổi.
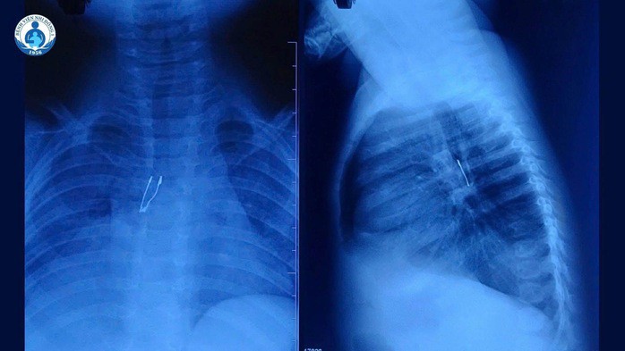
Hình ảnh X-quang cho thấy dị vật nằm ở phế quản gốc phải bệnh nhi
Bệnh nhi N.K.N (9 tháng tuổi, ở Đồng Tháp) nhập viện trong tình trạng ho kéo dài hai ngày. Trước đó, tại tuyến y tế ban đầu, hình ảnh X-quang ghi nhận dấu hiệu bất thường nghi ngờ dị vật đường thở nên trẻ được chuyển đến Bệnh viện Nhi Đồng 1 để tiếp tục xử trí. Gia đình không xác định được thời điểm trẻ hít phải dị vật cũng như loại dị vật cụ thể.
Tại bệnh viện, kết quả chẩn đoán cho thấy dị vật cản quang nằm ở phế quản gốc phải, kèm theo tình trạng xẹp phổi phải không hoàn toàn và tràn khí trung thất.
Trước diễn tiến phức tạp, BS Lý Phạm Hoàng Vinh cùng ê-kíp Khoa Tai mũi họng - Bệnh viện Nhi Đồng 1 đã nhanh chóng hội chẩn liên chuyên khoa, phối hợp với gây mê để tiến hành nội soi phế quản cấp cứu.
Dị vật là bóng đèn LED được bác sĩ gắp ra khỏi phế quản bệnh nhi
Quá trình can thiệp gặp nhiều khó khăn do đặc điểm của dị vật. Bóng đèn LED có phần đuôi bè, sắc nhọn, dễ mắc kẹt khi đi qua thanh quản, làm tăng nguy cơ tổn thương niêm mạc hoặc kẹt giữa hai dây thanh. Ngoài ra, đường thở của trẻ nhỏ hẹp khiến việc quan sát và thao tác trở nên phức tạp. Ê-kíp phải điều chỉnh và xoay dị vật từng bước để đưa ra ngoài theo hướng an toàn nhất.
Trước nguy cơ biến chứng như tràn khí màng phổi, đội ngũ bác sĩ Ngoại lồng ngực cũng được huy động sẵn sàng hỗ trợ trong trường hợp khẩn cấp. Sau quá trình can thiệp tỉ mỉ, dị vật đã được lấy ra thành công, đảm bảo an toàn cho bệnh nhi.
Sau thủ thuật, tình trạng hô hấp của trẻ ổn định, đường thở thông thoáng, không ghi nhận tổn thương đáng kể hay biến chứng.
Bệnh nhi giảm ho rõ rệt và đang được tiếp tục theo dõi, dự kiến sớm xuất viện.
Theo BS Vinh, dị vật đường thở ở trẻ nhỏ là tình trạng cấp cứu nguy hiểm, đặc biệt với các vật có hình dạng bất thường như bóng đèn LED. Những dị vật này không chỉ gây tắc nghẽn mà còn có thể làm tổn thương đường thở hoặc dẫn đến biến chứng nặng nếu xử trí không kịp thời.
Từ trường hợp trên, các bác sĩ khuyến cáo phụ huynh cần đặc biệt lưu ý không để trẻ tiếp xúc hoặc ngậm các vật nhỏ như linh kiện điện tử, pin hay bóng đèn LED; đồng thời theo dõi sát trẻ trong sinh hoạt hằng ngày. Khi nghi ngờ trẻ hít sặc dị vật, cần sơ cứu đúng cách và nhanh chóng đưa đến cơ sở y tế để được can thiệp kịp thời.
Bệnh nhi 15 tuổi trong lúc nằm võng ăn bánh bất ngờ ho sặc sụa và nôn ói, sau 7 ngày mới biết bị hóc hạt hạnh nhân
Nguồn: [Link nguồn]
-27/04/2026 10:48 AM (GMT+7)

