Cảnh báo: 3 biến chứng niềng răng “chí mạng” và cách phòng ngừa hiệu quả
Niềng răng được xem là chuyên môn phức tạp nhất trong ngành răng hàm mặt. Do đó, nguy cơ xảy ra các biến chứng niềng răng cũng cao hơn nếu thực hiện sai kỹ thuật.
3 biến chứng nguy hiểm có thể gây mất răng vĩnh viễn
Theo Tiến sĩ Miguel Assis - Giảng viên trường Y Khoa Vienna (Áo), có tới hơn 20% khách hàng gặp các biến chứng nguy hiểm do niềng răng sai kỹ thuật. Theo lý giải của nhiều chuyên gia, niềng răng truyền thống không có sự hỗ trợ của các công nghệ hiện đại nên việc tính toán lực dịch chuyển răng đều dựa trên kinh nghiệm để thăm dò chủ yếu trên ngưỡng đau của khách hàng. Do vậy, lực tác động lên răng có thể không chính xác, lực quá nhẹ hoặc quá mạnh đều có nguy cơ gây ra các biến chứng niềng răng.
Bác sĩ Lê Thị Bích Phương - Chuyên gia chỉnh nha tại nha khoa Lạc Việt Intech cho biết, răng dịch chuyển sẽ gây ra cảm giác đau, nhức, căng tức hoặc lung lay nhẹ. Đây là hiện tượng bình thường. Nhưng nếu răng bị lung lay nhiều hoặc ê buốt, đau nhức bất thường thì có thể là dấu hiệu của một số biến chứng sau:
Thứ nhất chính là bật chân răng ra khỏi xương ổ răng do dịch chuyển răng với lực quá lớn, cơ sinh học di chuyển răng bị sai dẫn đến bật chóp răng hoặc cổ răng ra ngoài bản xương. Đây cũng là biến chứng nguy hiểm nhất.
Dấu hiệu của tiêu xương quá giới hạn khi niềng răng
Thứ hai là biến chứng tiêu chân răng. Mức độ tiêu chân răng cho phép khi niềng răng là không quá 30% chiều dài chân răng ban đầu. Nếu chân răng bị tiêu trong giới hạn này thì không có gì đáng lo ngại. Nhưng nếu như bị tiêu quá 30% chiều dài chân răng ban đầu thì phần chân răng nằm trong xương sẽ rất ít, răng yếu và có thể mất răng sớm.
Thứ ba là biến chứng tiêu xương. Tiêu xương là hệ quả tất yếu của quá trình dịch chuyển răng, sau đó, phần xương bị tiêu đi sẽ nhanh chóng phát triển và dày trở lại. Nhưng nếu bác sĩ sử dụng lực quá mạnh hoặc chỉnh nha sai kỹ thuật thì xương có thể bị tiêu nhiều hơn giới hạn cho phép và không thể tái tạo lại. Bằng mắt thường, chúng ta có thể thấy lợi (nướu) bị tụt xuống gây lộ chân răng, đồng thời xuất hiện các tam giác đen giữa các kẽ răng.
Tầm soát và loại bỏ nguy cơ biến chứng với X-Matrix
Để khắc phục những nhược điểm này, các bác sĩ tại Lạc Việt Intech là những người tiên phong trong việc nghiên cứu và ứng dụng thành công giải pháp niềng răng X-Matrix vào quá trình điều trị và mang lại nhiều hiệu quả đột phá cho khách hàng.
Khách hàng Đào Phương Chi chia sẻ: “Bác sĩ cho mình xem trước kết quả điều trị bằng video mô phỏng 3D rất trực quan, kết quả sau cùng giống hoàn toàn với bản mô phỏng này. Mình thấy quá trình niềng răng cũng khá nhẹ nhàng và an toàn, bác sĩ chỉ định chụp phim 6 tháng/lần để kiểm soát tiêu xương hoặc tiêu chân răng.”
Bác sĩ Lê Thị Bích Phương chụp cùng khách hàng niềng răng X-Matrix
Nói về giải pháp niềng răng tiên tiến này, bác sĩ Lê Thị Bích Phương cho biết thêm:
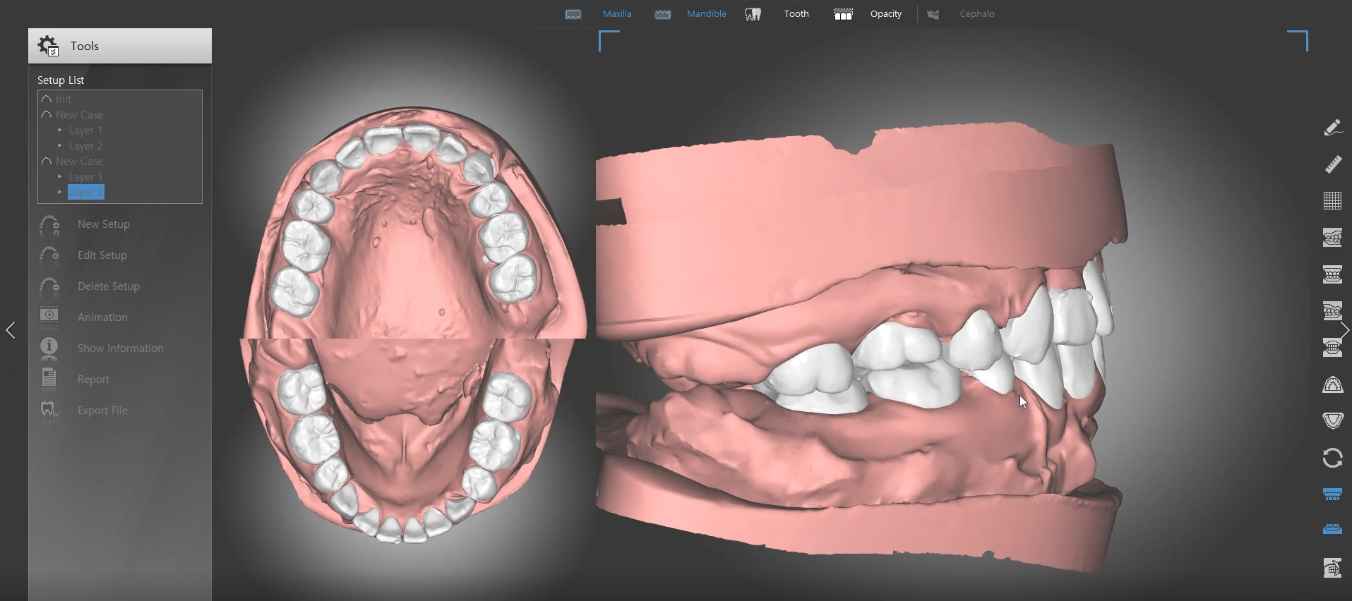
“X-Matrix cho phép biết trước kết quả với độ chính xác tới 99.9%, đảm bảo quá trình niềng răng nhẹ nhàng, không gây đau đớn nhờ kết hợp bộ 3 kỹ thuật AutoLign, SmileStream và WebCeph:
- Biết trước kết quả chính xác tới 99.9% với AutoLign
AutoLign cho phép khách hàng biết trước kết quả chỉnh nha chính xác tới 99.9%. Phần mềm này cũng giúp xác định và đo đạc chính xác các loại chuyển động của từng răng trên cung hàm, lựa chọn dây cung cá nhân hóa và xác định vị trí gắn mắc cài lý tưởng nhất để dịch chuyển răng nhẹ nhàng, không đau.
- Hạn chế biến chứng, niềng răng nhẹ nhàng, không gây đau đớn với SmileStream
SmileStream sẽ hỗ trợ tính toán được độ kháng xương vỏ, xác định được lực lý tưởng cho răng dịch chuyển an toàn và không bị bật ra khỏi xương ổ răng. Việc tính toán chính xác lực tác động cũng giúp dịch chuyển đồng thời cả thân răng và chân răng, đảm bảo quá trình tiêu bồi xương sinh học diễn ra cân bằng, loại bỏ hầu hết nguy cơ biến chứng.
- Tái cấu trúc tầng mặt dưới, biết trước sự thay đổi góc nghiêng với WebCeph
WebCeph cho phép khách hàng biết trước được sự thay đổi của góc nghiêng trước và sau khi điều trị, đặc biệt là đối với những ca niềng răng để cải thiện tình trạng hô hoặc móm.
Giải pháp X-Matrix cho phép biết trước kết quả niềng răng trên video mô phỏng 3D
Với X-Matrix, bác sĩ sẽ đảm bảo được các tiêu chí: lên kế hoạch điều trị chính xác ngay từ ban đầu, dịch chuyển răng nhẹ nhàng, an toàn trong suốt quá trình điều trị và mang lại kết quả tối ưu cho khách hàng, hạn chế tối đa nguy cơ tái phát sau niềng.”
Có thể thấy rằng, giải pháp niềng răng X-Matrix giúp khách hàng biết trước kết quả với độ chính xác gần như tuyệt đối, mang lại những trải nghiệm tuyệt vời trước và trong quá trình điều trị.
Nguồn: [Link nguồn]
-27/09/2025 16:18 PM (GMT+7)


