Không chỉ thời tiết lạnh, áp lực công việc vào cuối năm, thiếu ngủ, ăn uống thất thường, lạm dụng rượu bia và giảm vận động thể lực đang âm thầm thúc đẩy nguy cơ đột quỵ ở một số người.
Khi thời tiết chuyển lạnh, nguy cơ đột tử trong lúc ngủ tăng cao. Những người hay đau đầu khi thức dậy, thường xuyên đánh trống ngực.. cần đề phòng, đi khám sức khỏe.
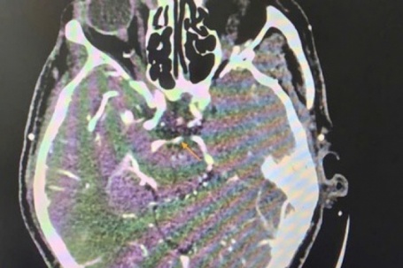
ANH - Cơ quan y tế của Anh đưa ra cảnh báo khẩn cấp về nước tăng lực sau khi một người đàn ông bị đột quỵ vì uống lượng nước này gấp ba giới hạn an toàn.
Dự báo từ 13/12, nhiệt độ tại Hà Nội có thể giảm sâu xuống ngưỡng 10°C, vùng núi xuất hiện rét hại dưới 6°C kèm nguy cơ băng giá và chuyên gia y tế phát lệnh báo động đỏ về nguy cơ đột quỵ não và nhồi máu cơ tim.
Từ một cô gái hoạt bát, có mái tóc dài điệu đà, Hồng chuyển sang mái đầu tém sau ca phẫu thuật hộp sọ, mở đầu hành trình đấu tranh để giành lại sự sống sau cơn đột quỵ.
Ăn uống lành mạnh là biện pháp hỗ trợ bảo vệ hệ tim mạch hiệu quả. Việc ưu tiên thực phẩm toàn phần giàu chất xơ, chất béo tốt là 'nhiên liệu' cho một trái tim khỏe mạnh, giảm thiểu đáng kể mối đe dọa từ bệnh tim và đột quỵ.