Kỳ lạ: Cụ bà sống khỏe mạnh dù có cây kim trong não suốt 80 năm
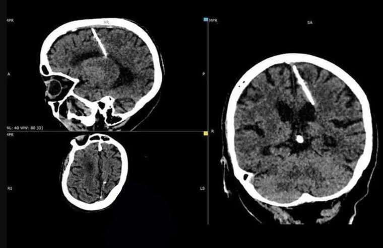
Sau khi chụp CT, các bác sĩ phát hiện ra 1 cây kim dài 3cm cắm vào bên trái não của cụ bà 80 tuổi ở vùng Sakhalin, Nga.
Hình ảnh kết quả chụp CT của cụ bà được Bộ Y tế Sakhalin công bố mới đây kèm theo lời giải thích gây sốc. Khi xem xét độ tuổi của bà lão, các bác sĩ tin rằng, chiếc kim đã được chính cha mẹ bà đưa vào não ngay sau khi bà chào đời. Nghe có vẻ không tưởng nhưng đây là việc làm khá bổ biến của các gia đình trong thời Chiến tranh thế giới thứ hai. Ở thời điểm ấy, nhiều bậc cha mẹ không đủ khả năng chăm sóc con mình nên đã đâm những chiếc kim mỏng vào não qua thóp - khe hở trên hộp sọ sẽ dần khép lại khi đứa trẻ lớn lên - để giết chết chúng. Phương pháp này không để lại dấu vết vì thóp nhanh chóng đóng lại, không để lại bằng chứng, che giấu được phương thức phạm tội.
Bộ Y tế Sakhalin cho biết: “Những trường hợp như vậy thời kì chiến tranh không phải là hiếm: một cây kim mỏng được đâm vào thóp của em bé khiến não bị tổn thương, thóp nhanh chóng đóng lại, che giấu dấu vết tội ác và đứa bé sẽ chết”.
Không rõ làm thế nào mà bà lão có thể vượt qua lưỡi hái tử thần, sống khỏe mạnh suốt 80 năm. Điều đáng chú ý hơn nữa là bà chưa bao giờ trải qua những cơn đau đầu vì có vật thể lạ trong não. Nếu không có kết quả chụp CT gần đây, bà sẽ không bao giờ biết đến sự tồn tại của cây kim dài tới 3cm trong não mình.
Các bác sĩ cho rằng, việc can thiệp phẫu thuật để rút kim ra sẽ chỉ khiến bệnh nhân gặp nguy hiểm do tuổi đã cao. Họ kết luận rằng, chiếc kim không gây nguy hiểm cho sức khỏe của bà và bà sẽ được các bác sĩ kiểm tra sức khỏe thường xuyên.
Trên thế giới cũng có một trường hợp tương tự vào năm 2020, khi một phụ nữ Trung Quốc phát hiện ra hai cây kim mỏng cắm vào não cô ấy. Cô không nhớ có tai nạn nào có thể giải thích được sự hiện diện chúng.
Từ năm 2021, một chứng bệnh khó nói khiến ông P.V.Chén ( Đống Đa, Hà Nội) đột nhiên hay… buồn tiểu, thậm chí là són tiểu ra quần nếu không chạy nhanh. Sức khỏe suy giảm,...
Nguồn: [Link nguồn]
