10 dấu hiệu cơ thể ai cũng nghĩ hoàn toàn bình thường nhưng cảnh báo bệnh nan y
Khi cơ thể gặp phải một số triệu chứng bất thường dưới đây thì bạn tuyệt đối không nên chủ quan bởi nó là dấu hiệu ban đầu của nhiều bệnh nguy hiểm mà chúng ta ít lường tới.
1. Môi khô nứt
Đây là một dấu hiệu của dị ứng. Trong trường hợp này, hãy chú ý đến mỹ phẩm mà bạn sử dụng, cũng như các sản phẩm vệ sinh răng miệng, thực phẩm bạn ăn và thậm chí cả thuốc men. Các vết nứt ở các góc miệng cho thấy cơ thể thiếu vitamin B, A và E.
Nếu bạn còn thấy cả triệu chứng khô mắt, miệng và gặp vấn đề với hệ tiêu hóa, hãy cẩn trọng bởi đó có thể là dấu hiệu của hội chứng bệnh tự miễn Sjogren.
2. Rụng lông mày
Lông mày rụng theo định kỳ, không gây ảnh hưởng gì nhưng nếu lông mày rụng từng mảng, có thể bạn đang gặp phải vấn đề suy giáp hoặc cường giáp. Lúc này, bạn nên đến gặp bác sỹ để kiểm tra tình trạng này.
3. Bất thường ở móng tay
Bất kỳ sự thay đổi nào về màu sắc hay cấu trúc của móng tay đều là tín hiệu đáng báo động. Mỏng móng, yếu, nhợt nhạt là dấu hiệu thiếu máu và thiếu sắt. Móng tay vàng là biểu hiện của bệnh lý về gan, dạ dày hoặc nhiễm nấm. Móng xuất hiện đốm trắng là dấu hiệu cho thấy cơ thể thiếu kẽm, đồng, i ốt. Móng giòn thể hiện cơ thể thiếu vitamin, canxi, sắt và beta-carotene.
4. Môi nhợt nhạt, viền môi sáng
Đường viền môi sưng lên và chuyển thâm là dấu hiệu bạn mẫn cảm với tia cực tím. Hãy sử dụng kem chống nắng thường xuyên và dùng cả son dưỡng môi có chứa thành phần chống nắng. Nếu toàn bộ môi bất chợt chuyển thâm, đây có thể là dấu hiệu cảnh báo rối loạn thần kinh thực vật.
5. Mặt đỏ
Đối với phụ nữ sau 40 tuổi, đây là dấu hiệu cho thấy mức hormone giảm, đánh dấu sự khởi đầu thời kỳ mãn kinh. Một khuôn mặt đỏ cũng có thể chỉ ra sự hiện diện của tình trạng nhiễm trùng demodicosis. Nếu đi kèm với chóng mặt, bạn cũng nên tới gặp bác sĩ để được chẩn đoán và chữa trị đúng cách.
6. Gót chân khô, bong tróc
Da chân khô là dấu hiệu cơ thể thiếu vitamin A và E. Nó cũng có thể do sự hiện diện của việc bị nhiễm nấm. Nếu tình trạng da khô và gồ ghề không biến mất ngay cả khi bạn bổ sung đủ lượng vitamin, đây có thể là dấu hiệu của sự gián đoạn nội tiết.
7. Da khô
Khi da khô, bạn có thể sử dụng kem dưỡng ẩm, uống nhiều nước và bổ sung vitamin. Nhưng nếu đã thực hiện các biện pháp trên mà da tay và cơ thể vẫn khô ráp thì có thể là dấu hiệu của bệnh tiểu đường và suy tuyến giáp. Nếu da không chỉ thô ráp và bong tróc mà còn có các vết nứt, đây có thể là dấu hiệu viêm da do tiếp xúc với hóa chất.
8. Bàn chân biến dạng
Bàn chân phụ nữ có thể bị biến dạng nếu đi giày cao gót lâu ngày. Áp lực dồn lên bàn chân không đồng đều gây ra tình trạng này. Bạn nên chọn những đôi giày gót thấp, chắc chắn hoặc thường xuyên đi giày thể thao.
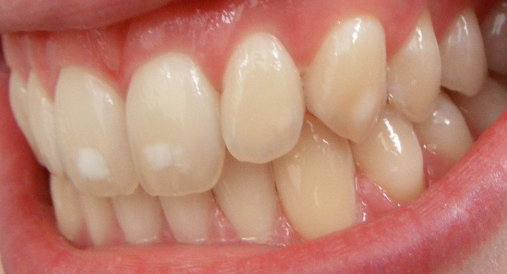
9. Vết trắng trên răng
Đây là dấu hiệu của bệnh nhiễm fluorosis do tiêu thụ một lượng lớn nước hoặc các sản phẩm chứa hợp chất flo. Có 5 mức độ nhiễm fluorosis: có vấn đề, rất nhẹ, nhẹ, trung bình và nặng. 3 mức độ đầu biểu hiện qua các mảng trắng trên răng (như ảnh). 2 mức độ sau có thể gây ra phân hủy mô răng và rụng răng.
10. Rụng tóc
Nếu bạn nhận thấy tình trạng rụng tóc nhiều hơn đáng kể và kéo dài, bạn nên đến gặp bác sĩ. Đó có thể là triệu trứng của nhiễm trùng da, rối loạn tuyến giáp, rối loạn tự miễn dịch…
Nhiều người luôn nghĩ rằng buổi sáng mới là thời điểm tuyệt vời nhất để làm chuyện ấy. Thế nhưng các nhà nghiên...









