Cô gái 7 năm không có kinh nguyệt - bác sĩ phát hiện nguyên nhân là do căn bệnh nguy hiểm
Abbie Few (đến từ Fishguard, xứ Wales) bắt đầu chu kỳ kinh nguyệt khi 13 tuổi, nhưng trong 7 năm tiếp theo, hiện tượng này đã không quay trở lại.
Bên cạnh đó, cô bé thường xuyên bị đau đầu. Khi đi khám, bác sĩ đã chỉ định Abbie uống paracetamol mỗi khi đau đầu và để thúc đẩy kinh nguyệt đều đặn trở lại. Bên cạnh đó, sau 1 thời gian, cô bé được chỉ định uống các loại thuốc điều hòa kinh nguyệt, cùng với siêu âm tử cung nhưng việc điều trị vẫn không hiệu quả.
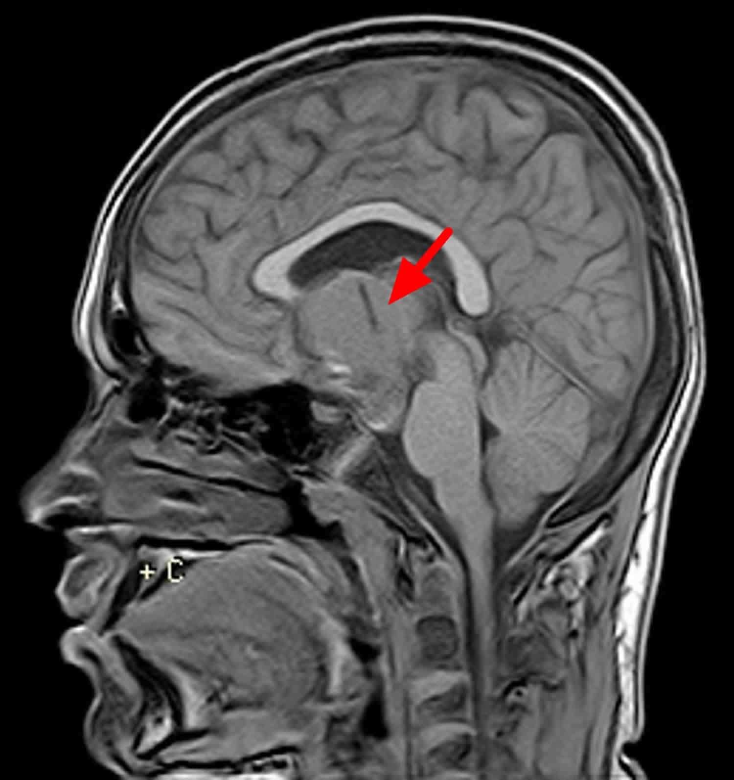
Cuối cùng, năm 19 tuổi, các bác sĩ đã phát hiện nguyên nhân gây ra các triệu chứng của Abbie là một khối u có kích thước bằng quả óc chó trên não.
Abbie tiết lộ: "Tôi hoàn toàn bị sốc nhưng cảm thấy nhẹ nhõm vì đã tìm nguyên nhân để giải thích điều gì đang xảy ra với cơ thể mình".
Khối u được xác định là u sọ hầu, Abbie đã phải trải qua ca phẫu thuật kéo dài 10 giờ để loại bỏ khối u. Tuy nhiên, không lâu sau cuộc phẫu thuật, các triệu chứng đã quay trở lại, khiến cô phải điều trị bằng tia proton ở Mỹ. Và liệu pháp này đã cứu sống cô bé.
U sọ hầu là một loại u não không ung thư (lành tính) hiếm gặp.
U sọ hầu bắt đầu gần tuyến yên của não, nơi tiết ra các hormone kiểm soát nhiều chức năng của cơ thể. Khi u sọ hầu phát triển chậm, nó có thể ảnh hưởng đến chức năng của tuyến yên và các cấu trúc lân cận khác trong não.
U sọ hầu có thể xảy ra ở mọi lứa tuổi, nhưng nó xảy ra thường xuyên nhất ở trẻ em và người già.
Dấu hiệu và triệu chứng
Khoảng thời gian từ khi bắt đầu có triệu chứng đến khi được chẩn đoán thường dao động từ 1 đến 2 năm.
Các triệu chứng biểu hiện phổ biến nhất là nhức đầu (55-86%), rối loạn chức năng nội tiết (66-90%), và rối loạn thị giác (37-68%). Đau đầu tăng dần, âm ỉ, liên tục và theo tư thế; nó trở nên nghiêm trọng ở hầu hết bệnh nhân khi các triệu chứng nội tiết trở nên rõ ràng.
Chẩn đoán
Các xét nghiệm và thủ tục được sử dụng để chẩn đoán u sọ hầu bao gồm:
- Khám sức khỏe. Chẩn đoán u sọ hầu thường bắt đầu bằng việc xem xét tiền sử bệnh và khám thần kinh của bác sĩ. Trong thủ tục này, bác sĩ sẽ kiểm tra tầm nhìn, thính giác, thăng bằng, phối hợp, phản xạ, tăng trưởng.
- Xét nghiệm máu. Xét nghiệm máu có thể tiết lộ những thay đổi về nồng độ hormone, cho thấy khối u đang ảnh hưởng đến tuyến yên của bạn.
- Xét nghiệm hình ảnh. Các xét nghiệm để tạo ra hình ảnh về não của bạn có thể bao gồm chụp X-quang, chụp cộng hưởng từ (MRI) và chụp cắt lớp vi tính (CT).
Liệu pháp proton
Liệu pháp proton là một loại xạ trị sử dụng chùm proton năng lượng cao, là những phần nhỏ của nguyên tử, thay vì tia X năng lượng cao để điều trị các loại ung thư cụ thể.
Liệu pháp proton cho phép một liều proton năng lượng cao được nhắm mục tiêu chính xác vào khối u, giảm tổn thương cho các mô khỏe mạnh xung quanh và các cơ quan quan trọng, đây là một lợi thế ở một số nhóm bệnh nhân hoặc nơi ung thư ở gần một bộ phận quan trọng của cơ thể chẳng hạn như tủy sống.
Liệu pháp chùm tia proton chỉ phù hợp với một số loại ung thư, chẳng hạn như ung thư não, đầu và cổ vì nó không mang lại kết quả tốt hơn cho nhiều trường hợp ung thư so với sử dụng tia X năng lượng cao. Tia X vẫn được coi là hiệu quả nhất, thích hợp để điều trị cho phần lớn các bệnh ung thư.
Giống như xạ trị tia X năng lượng cao, liệu pháp proton không gây đau đớn, nhưng bệnh nhân có thể gặp các tác dụng phụ tương tự như các tác dụng phụ của các hình thức xạ trị khác.
Một người đàn ông đột nhiên trở nên "hung dữ", mất thị lực cũng như khứu giác và được chẩn đoán mắc bệnh u não.
Nguồn: [Link nguồn]

