Người đàn ông bị sốc phản vệ sau khi dùng thuốc giảm đau
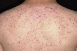
Sau khoảng 30 phút tiêm thuốc giảm đau, người đàn ông cảm thấy người mệt mỏi, chóng mặt, nổi mề đay, hai mắt sưng nề.
Khoa Cấp cứu, Bệnh viện Việt Nam – Thụy Điển Uông Bí, Quảng Ninh vừa tiếp nhận một người bệnh nam 18 tuổi trú tại Thủy Nguyên – Hải Phòng nhập viện trong tình trạng phản vệ sau khi sử dụng thuốc giảm đau.
Theo gia đình, trước đó 2 ngày, người bệnh có sốt và ho nhiều. Trước lúc nhập viện, người bệnh đi khám và được bác sĩ tại phòng khám tư tiêm thuốc. Sau tiêm khoảng 30 phút, người bệnh cảm thấy mệt mỏi, chóng mặt, nổi mề đay, hai mắt sưng nề. Gia đình đã ngay lập tức đưa đến viện để cấp cứu.
Người bệnh được cấp cứu tại bệnh viện.
Cũng theo gia đình, trước đó khoảng vài tháng người bệnh cũng bị phản vệ sau khi tự mua và uống thuốc chữa đau bụng.
Ngay khi tiếp nhận người bệnh đã được cấp cứu, điều trị theo phác đồ phản vệ. Sau khoảng 30 phút sức khỏe người bệnh ổn định nhưng hai mắt và môi còn sưng nề.
Theo bác sĩ Bệnh viện, việc tự sử dụng và lạm dụng thuốc giảm đau trong thời gian dài dẫn đến những tác hại nghiêm trọng như loét dạ dày, tổn thương gan, suy giảm chức năng thận, cao huyết áp, rối loạn điều hòa hoạt động các cơ quan như loãng xương... Và đôi khi còn gây ra những phản ứng phụ như dị ứng, mẫn cảm, thậm chí là phản ứng phản vệ nguy hiểm có thể tử vong.
Do vậy, người dân đặc biệt là những người đã từng có tiền sử dị ứng thuốc nếu sau khi uống hoặc tiêm thuốc thấy xuất hiện các triệu chứng như nổi ban da ngứa, buồn nôn, đau bụng, khó thở, tức ngực, cần đến khám ngay tại cơ sở y tế chuyên khoa để được thăm khám và điều trị kịp thời.
Sau khi thái một củ hành để chuẩn bị nấu ăn tối cho gia đình, nam thanh niên 25 tuổi rơi vào tình trạng sốc phản vệ nặng với biểu hiện phù nề toàn bộ mặt, hai mắt, hai mắt...
Nguồn: [Link nguồn]
