Dẫn lưu 300ml dịch từ ổ áp xe gan, cứu bệnh nhân 35 tuổi khỏi ca phẫu thuật lớn
Nhập viện trong tình trạng sốt cao do ổ áp xe lớn ở gan, bệnh nhân N.V.T, 35 tuổi (Sóc Sơn, Hà Nội) thoát khỏi ca phẫu thuật mổ mở nhờ kỹ thuật dẫn lưu ổ dịch dưới hướng dẫn siêu âm.
Dấu hiệu mơ hồ, nhập viện thì tình trạng bệnh đã nguy hiểm
Sau một tuần kể từ khi có những cơn sốt 38-39 độ kèm đau tức hạ sườn phải, vàng mắt, vàng da, mệt mỏi, anh N.V.T mới nhập viện để thăm khám. Khi đó, chỉ số nhiễm trùng CRP và công thức máu có bạch cầu tăng cao.
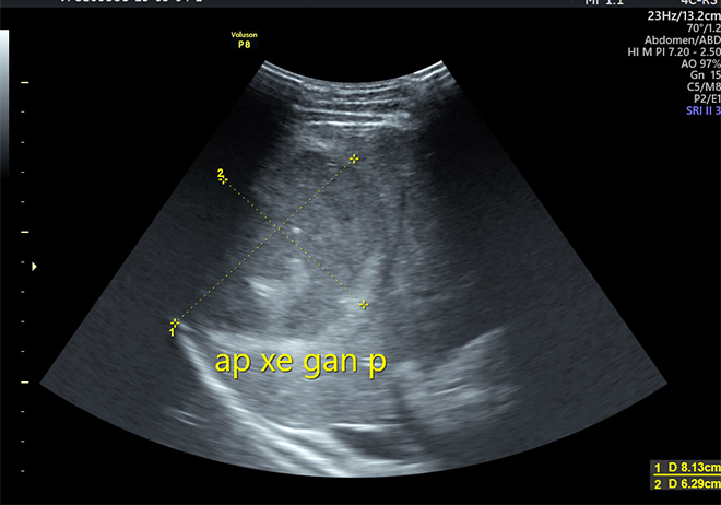
Kết quả siêu âm và chụp cắt lớp ổ bụng của anh T cho thấy nhu mô gan phải có xuất hiện khối áp-xe lớn với kích thước 8.13x6.29cm, dịch không trong, có nhiều vách, khối tổn thương nằm sát bao gan và màng phổi.
“Ổ áp xe của bệnh nhân có kích thước lớn, nằm ở vị trí khá nguy hiểm nên nguy cơ vỡ ổ áp xe rất cao, gây ra những biến chứng nguy hiểm như vỡ vào màng phổi hoặc vỡ vào ổ bụng, có thể đe doạ tính mạng”, ThS. BS Nguyễn Thị Vân - Trung tâm Tiêu hoá Bệnh viện Đa khoa Hồng Ngọc cho biết.
Khối áp-xe lớn với kích thước 8.13x6.29cm, nằm sát bao gan và màng phổi
Trước tình trạng bệnh nặng nề, bệnh nhân ngay lập tức được truyền phối hợp 2 nhóm kháng sinh truyền tĩnh mạch để điều trị, giảm tình trạng viêm và tiếp tục làm thêm các cận lâm sàng, cấy máu khi sốt cao và các xét nghiệm khác để chẩn đoán nguyên nhân gây áp xe gan.
Song song với đó, bác sĩ chuyên khoa Tiêu hoá và bác sĩ Chẩn đoán hình ảnh của Bệnh viện đã nhanh chóng hội chẩn, thống nhất phương án chọc hút, dẫn lưu ổ áp xe dưới hướng dẫn siêu âm cho bệnh nhân.
Dẫn lưu ổ dịch giúp bệnh nhân thoát một cuộc phẫu thuật
Chọc hút, dẫn lưu ổ dịch áp xe dưới hướng dẫn siêu âm là một kỹ thuật can thiệp hiện đại, ngày càng được áp dụng giúp giảm kích thước và áp lực bên trong ổ áp xe một cách nhanh chóng, tránh nguy cơ biến chứng gây vỡ áp xe vào ổ bụng và màng phổi. Đây là kỹ thuật đặt một dẫn lưu (pig-tail) qua da vào ổ áp xe và để lưu lại cho những lần dẫn lưu tiếp theo. Ưu điểm của phương pháp này là ít xâm lấn, thời gian thực hiện ngắn, ít biến chứng, chỉ cần gây tê tại chỗ, không đòi hỏi gây mê toàn thân, giúp bệnh nhân nhanh hồi phục hơn.
Về trường hợp bệnh nhân N.V.T, BS Đỗ Huy Hoàng - Khoa Chẩn đoán hình ảnh - Điện quang Can thiệp, BVĐK Hồng Ngọc cho biết: “Vì khối áp xe của bệnh nhân T khá lớn, việc đưa dẫn lưu vào giữa tổn thương không quá phức tạp, tuy nhiên ekip cần hết sức cẩn thận, tránh tổn thương các mạch máu lớn của gan và màng phổi lân cận. Khối áp xe này có nhiều vách nên chúng tôi cũng cần lựa chọn đường vào để ống dẫn lưu đến được trung tâm khối áp xe, từ đó có thể hút được tối đa lượng mủ.”
Các bác sĩ trong ê kíp đã tiến hành hút dẫn lưu được hơn 300ml dịch mủ màu vàng, bơm rửa ổ áp xe, gửi mẫu bệnh phẩm nuôi cấy để xác định vi khuẩn gây áp xe gan và làm kháng sinh đồ.
Sau khi thực hiện thủ thuật, bệnh nhân giảm cảm giác đau tức và được chuyển về khoa nội trú của Trung tâm Tiêu hóa để tiếp tục điều trị.
BS Vân chia sẻ: “Nguyên nhân gây ra ổ áp xe gan lớn ở bệnh nhân T là vi khuẩn Klebsiella. Với kết quả này, chúng tôi có thể lựa chọn kháng sinh đồ phù hợp nhất với bệnh nhân để điều trị hiệu quả, tránh sự kháng kháng sinh, giảm thời gian nằm viện và chi phí cho bệnh nhân.”
Nhờ sự phối hợp giữa các chuyên khoa cùng phác đồ điều trị tích cực, sau 10 ngày bệnh nhân cắt sốt, sức khỏe tiến triển tích cực, tình trạng lâm sàng cải thiện tốt, các bilan viêm gần như đã trở lại bình thường. Nếu kém may mắn hơn, bệnh nhân phải đối mặt với cuộc phẫu thuật mổ mở để hút mủ, thời gian nằm viện có thể tới 3-4 tuần.
Bệnh lý cấp tính nguy hiểm và khuyến cáo từ bác sĩ
Áp xe gan là bệnh lý cấp tính có mức độ nguy hiểm cao, đe dọa đến tính mạng người bệnh nếu không được phát hiện và điều trị kịp thời. Như trong trường hợp bệnh nhân T, nếu không may mắn được can thiệp kịp thời, vi khuẩn từ gan có thể đi vào đường máu hoặc ổ áp xe có thể gây vỡ vào màng phổi, màng tim hoặc ổ bụng, gây ra tình trạng sốc nhiễm khuẩn thậm chí tử vong.
Do đó, ngay khi có những triệu chứng bất thường, nghi ngờ áp-xe gan như sốt cao 39°C - 40°C kèm rét run, vàng da, đau tức hạ sườn phải, mệt mỏi, buồn nôn và nôn, chán ăn…. người bệnh như cần đến bệnh viện, cơ sở y tế uy tín, tin cậy để được phát hiện và điều trị kịp thời.
Nguồn: [Link nguồn]

