Cụ ông 90 tuổi bị rơi 4 chiếc răng giả vào phế quản
Bệnh nhân nhập viện là cụ ông 90 tuổi ở Thái Bình, đi làm răng giả thì bị 4 chiếc răng rơi vào phế quản.
Bệnh viện Phổi Trung ương vừa nội soi phế quản cấp cứu để cứu sống cụ ông 90 tuổi bị rơi cả cầu răng giả 4 chiếc vào phế quản, gây hẹp gần hoàn toàn phế quản gốc trái và đe dọa tính mạng.
ThS.BS. Nguyễn Lê Nhật Minh, Trưởng khoa Nội soi chẩn đoán và can thiệp, Bệnh viện Phổi Trung ương đã phối hợp cùng đồng nghiệp, kíp trực can thiệp kịp thời bệnh nhân nhập viện là cụ ông 90 tuổi ở Thái Bình, đi làm răng giả, bị sự cố rơi mất răng giả.
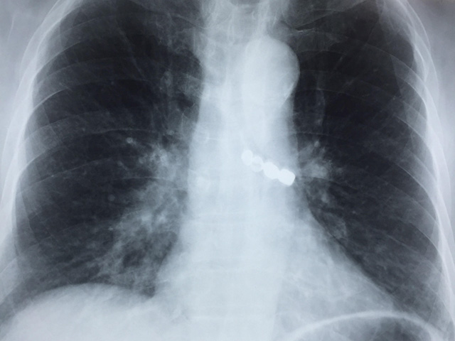
4 chiếc răng giả bị rơi trong phế quản của cụ ông.
Cụ ông này đã được nội soi dạ dày tại Bệnh viện đa khoa tỉnh Thái Bình để tìm dị vật nhưng không thấy; được chụp phim X-quang phổi và phát hiện ra dị vật trong đường thở. Do vượt quá khả năng can thiệp nên người bệnh được chuyển cấp cứu lên Bệnh viện Phổi Trung ương.
Người bệnh được nhập viện vào lúc 11h45 ngày 23 tháng 9 năm 2018 trong tình trạng ho nhiều, khó thở. Các bác sĩ của Bệnh viện Phổi Trung ương đã khẩn trương tiến hành hội chẩn và quyết định nội soi phế quản cấp cứu để gắp dị vật khí quản, giải phóng tắc nghẽn đường thở, nhằm cứu sống người bệnh.
Người bệnh đã nhanh chóng được gắp thành công dị vật ra khỏi phế quản, giải phóng đường thở. Dị vật này là 1 cầu răng sứ 4 răng hàm dài 3,5cm đã bị rơi vào khí phế quản trong quá trình lắp răng giả cho người bệnh.
Cũng theo ThS. Minh cụ ông 90 tuổi đã ngay lập tức cảm thấy dễ chịu, dễ thở hơn sau khi được gắp cầu răng giả ra khỏi phế quản phổi. Đây là 1 kỹ thuật y khoa khó vì dị vật quá to và trơn nhẵn do răng giả làm bằng sứ.
Theo PGS.TS Nguyễn Tiến Dũng, Khoa Nhi, Bệnh viện Bạch Mai cảnh báo, trẻ bị hóc dị vật ngày càng nhiều, dù các phương tiện...
