Bé trai thủng mắt vì nhìn vào bút laser
Chiếc bút laser mà các thầy cô hay người diễn thuyết hay dùng để chỉ lên màn hình máy chiếu đã khiến một bé trai mất vĩnh viễn 8/10 thị lực mắt trái.
Vụ việc vừa được đăng tải trên tạp chí khoa học New England Journal of Medicine và lập tức khiến dư luận chú ý. CNN thậm chí bình luận vụ việc là "bí ẩn và đáng kinh ngạc", bởi ít ai nghĩ công cụ quen thuộc để giảng bài trên máy chiếu lại nguy hiểm đến thế.
Một cậu bé giấu tên, 9 tuổi, người Hy Lạp nghịch ngợm với một cây bút laser có tia màu xanh lá cây mà cha cậu đã mua cho như một món đồ chơi. Trong một khoảnh khắc, cậu đã quay tia sáng trực tiếp vào mắt mình và cảm thấy vô cùng đau đớn.
Nhãn cầu cậu bé với lỗ thủng lớn do laser - ảnh do bệnh viện cung cấp
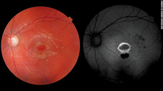
Kết quả chẩn đoán hình ảnh cho thấy một lỗ thủng lớn trong nhãn cầu của cậu bé. Trao đổi với CNN qua e-mail, giáo sư Androudi, chuyên gia nhãn khoa ở Đại học Thessaly (Hy Lạp) - một trong những người tham gia điều trị cho cậu bé - cho biết lỗ thủng đã khiến các dây thần kinh chịu trách nhiệm hấp thụ ánh sáng trong mắt bị hư hại hoàn toàn.
Cậu bé được phẫu thuật để xử lý vết thương, tuy nhiên điều này không thể giúp cậu khôi phục thị lực.
Kết quả kiểm tra cho thấy thị lực ở mắt phải của cậu bé hoàn toàn bình thường; trong khi mắt trái (mắt bị thương) thì thị lực chỉ còn 2/10. Đã hơn 1 năm rưỡi kể từ tai nạn nhưng thị lực cậu bé không cải thiện được chút nào.
Bút laser với nhiều màu như đỏ cam, xanh, xanh lá cây, tím... thường được dùng để trỏ lên màn hình máy chiếu khi giảng bài, thuyết trình - ảnh minh họa từ internet
Bình luận về vụ việc, giáo sư - tiến sĩ Peter Gehlbach, chuyên gia nhãn khoa tại Viện Mắt Johns Hopkins Wilmer (Mỹ) nói rằng thông thường các bút laser được sản xuất với công suất khá an toàn là 5 miliwatts. Tuy nhiên, trên thị trường vẫn trôi nổi khá nhiều bút công suất lên tới 10-50 miliwatts, rất nguy hại nếu vô tình chiếu vào mắt người. Bút laser có công suất hơn 5 miliwatts đang bị Cơ quan Quản lý Thực phẩm và Dược phẩm Mỹ (FDA) hạn chế bán trên toàn quốc.
Giáo sư Androudi thì khuyến cáo rằng trong ba màu phổ biến của bút (đỏ cam, xanh, xanh lá cây) thì đỏ cam được coi là an toàn nhất. Mắt người cực kỳ nhạy cảm với bước sóng của ánh sáng các tông màu xanh, vì vậy nếu lỡ nhìn vào thì ánh sáng xanh sẽ gây thương tổn nghiêm trọng hơn nhiều so với các ánh sáng màu đỏ, đỏ cam cùng công suất.
Nghiên cứu gần đây cảnh báo, các loại bút laser rẻ tiền được bán tràn lan trên thị trường có thể làm mắt bị thương.

