Trẻ bỏng da do tụ cầu
Bỏng da do tụ cầu là bệnh nhiễm khuẩn da cấp tính gây nên bởi ngoại độc tố của tụ cầu vàng nhóm 2.
Bệnh hay gặp ở trẻ em dưới 5 tuổi, nhất là ở trẻ sơ sinh với các tên gọi khác nhau: Ritter von Ritterschein, Pemphigus trẻ sơ sinh, Hội chứng bỏng rộp da do tụ cầu.
Tụ cầu lây từ mẹ hay người chăm sóc sang con
Mầm bệnh là tụ cầu vàng (Staphylococcus aureus) nhóm 2, với các týp 3A, 3B, 3C, 55 hoặc 71. Các chủng này tiết ra ngoại độc tố có tên là epidermolytic toxin hay etoxin (ET) gây ly giải thượng bì. Các ngoại độc tố này, sau khi được giải phóng ra theo đường máu sẽ đến da. Tại da, các ngoại độc tố sẽ gắn trực tiếp vào desmoglin 1 trên cầu nối gian bào của thượng bì gây đứt cầu nối, phá vỡ lớp hạt, bóc tách thượng bì và hình thành bọng nước. Có 2 hình thái sinh bệnh khu trú và lan tỏa. Hình thái khu trú: tụ cầu vàng xâm nhập qua da qua các vết chầy xước, viêm nhiễm trên da, qua nốt thủy đậu, rồi sản sinh độc tố tại chỗ; kháng thể kháng độc tố do người bệnh sản xuất ra có khả năng khống chế sự lan tràn của độc tố nên bệnh có tính khu trú. Hình thái lan tỏa: độc tố được sản xuất từ nơi xa, có thể bắt đầu từ mũi, mắt, mỏm cụt rốn, vòm họng hoặc từ một vết thương, hay viêm xương tủy, viêm nội mạc.
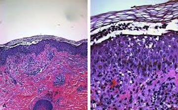
Tiêu bản tổn thương bỏng da do tụ cầu.
Tổn thương bỏng da do tụ cầu ở trẻ nhỏ.
Ở người lớn, rất hiếm khi mắc bệnh, chỉ gặp trên những người suy giảm miễn dịch như nhiễm HIV, ung thư giai đoạn cuối hoặc suy thận, nhưng tỷ lệ tử vong có thể lên đến 60% do nhiễm khuẩn huyết hoặc do bệnh nặng có từ trước.
Bỏng da do tụ cầu gặp ở hầu hết các nước, nhưng thấy nhiều hơn ở các nước đang phát triển. Ở Việt Nam, chưa có số liệu thống kê về tỷ lệ bệnh, nhưng trong những năm gần đây, bệnh gặp tương đối phổ biến tại Viện Da liễu Quốc gia. Ðối tượng mắc bệnh chủ yếu là trẻ sơ sinh và trẻ nhỏ trẻ dưới 5 tuổi. Theo một nghiên cứu cho biết: tỷ lệ mắc bệnh 62% là trẻ dưới 2 tuổi, 98% trẻ dưới 6 tuổi, tỷ lệ tử vong thấp, thường dưới 5%, bệnh có xu hướng thành dịch nhỏ tại các nhà trẻ hoặc phòng nuôi dưỡng trẻ sơ sinh. Nguồn lây: từ bà mẹ bị áp-xe vú do tụ cầu hoặc từ những người nuôi dưỡng trẻ
Biểu hiện bệnh
Biểu hiện lâm sàng của bỏng da do tụ cầu rất khác nhau, tùy thể và giai đoạn bệnh. Theo Thomas B Fitzpatrick, có 4 hình thái: chốc bọng nước lớn, chốc bọng nước lan tỏa, hội chứng dạng sốt tinh hồng nhiệt, hội chứng bỏng rộp da toàn thân. Thể khu trú: tổn thương da là ban đỏ dạng tinh hồng nhiệt, mềm tập trung chủ yếu ở các nếp gấp nhưng không tiến triển đến bọng nước. Ở trẻ sơ sinh, tổn thương có thể xuất hiện quanh rốn hoặc vùng hăm kẽ, vùng đáy chậu, tầng sinh môn, còn ở trẻ lớn tổn thương thường thấy vùng da khác. Thể lan tỏa: khởi đầu bệnh nhân thường sốt và phát ban đỏ dạng tinh hồng nhiệt lan tỏa ở mắt, mũi, miệng hoặc các nếp gấp nách, bẹn. Ban lúc đầu mịn, nhìn chưa rõ. Từ 24 - 48 giờ, từ các ban đỏ sẽ hình thành các bọng nước tạo thành các nếp nhăn trên da. Các bọng nước thường rất nông, nhẽo, ranh giới không rõ, dễ tuột ra khi va chạm. Đôi khi các bọng nước liên kết với nhau tạo thành mảng rộng, sau đó trợt ra như bị bỏng để lộ nền da đỏ ẩm ướt, bong vảy mỏng và rất đau. Tổn thương niêm mạc ít gặp. Dấu hiệu Nicolsky dương tính (+) trong hầu hết các trường hợp bỏng da do tụ cầu lan tỏa, thậm chí khi chưa có bọng nước. Triệu chứng toàn thân: trẻ mệt, bú kém, dễ bị kích thích, sốt. Có thể thấy triệu chứng nhiễm tụ cầu nơi khác như viêm phổi, nhiễm khuẩn rốn, nhiễm khuẩn huyết, viêm khớp, viêm cơ...
Xét nghiệm: Bạch cầu có thể tăng, tuy nhiên đa số các trường hợp bình thường, máu lắng tăng; nuôi cấy dịch kết mạc, mũi họng, ổ mủ trên da tìm thấy vi khuẩn. Tuy nhiên, nếu nuôi cấy dịch bọng nước thì thường cho kết quả âm tính do nhiễm tụ cầu ở nơi khác. Mô bệnh học: có khe tách ở thượng bì phía dưới và trong lớp hạt. Các khe tách có chứa dịch và tế bào ly gai. Các phần còn lại của thượng bì không có thay đổi đặc hiệu và không thấy xâm nhiễm tế bào viêm trong trung bì.
Nếu được chẩn đoán và điều trị sớm, bệnh cải thiện nhanh chóng trong vòng 5 - 7 ngày, các tổn thương da khô lại, bong vảy da và khỏi không để lại sẹo. Trường hợp nặng, bệnh nhân có thể bị mất nước, rối loạn điện giải. Ở trẻ nhỏ, có thể tử vong do mất lớp da bảo vệ, hạ nhiệt độ, mất nước, nhiễm khuẩn huyết hay nhiễm khuẩn lan tỏa.
Điều trị và phòng bệnh
Bệnh nhân nên được chăm sóc tại bệnh viện rửa các tổn thương bằng nước muối 9%o để loại bỏ các tổ chức đã bị hoại tử, bong vảy. Có thể bôi các thuốc sát khuẩn như milian, mỡ kháng sinh mupirocin, bacitracin, mỡ silverin. Bệnh nhân cần được dùng kháng sinh càng sớm càng tốt với các loại thuốc có tác dụng diệt tụ cầu mạnh hoặc tốt nhất là theo kháng sinh đồ. Tuyệt đối không dùng glucocorticoid để điều trị. Đối với các ca bệnh nặng cần bồi phụ nước, điện giải cho bệnh nhân.
Phòng bệnh bằng các biện pháp: nếu mẹ bị áp-xe vú do tụ cầu thì không nên cho con bú cho đến khi điều trị khỏi hẳn áp-xe này. Đối với những người nuôi dưỡng trẻ, nếu bị viêm da, viêm họng... cần điều trị khỏi hẳn mới tiếp tục chăm sóc trẻ. Trong nhà trẻ, phòng nuôi dưỡng trẻ sơ sinh, khi có trẻ bị bệnh cần cách ly và không cho trẻ khỏe mạnh tiếp xúc với bệnh nhi. Điều trị tích cực các bệnh viêm da, viêm tai mũi họng... cho trẻ.
ThS. Phạm Thanh Xuân

