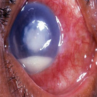
Dùng kính áp tròng sẽ gây mòn giác mạc
Một chương trình điều tra mới đây đã cho thấy một số thương hiệu kính áp tròng (lens) ở Trung Quốc, đặc biệt là một số loại kính kém chất lượng do những người bán hàng trực tuyến bán hay cả các cửa hàng phân phối độc quyền, đều được tìm thấy là có hại cho đôi mắt.
Kính áp tròng đầu tiên là một xu hướng, sau đó dần trở thành một phụ kiện thời trang vô cùng quen thuộc của giới trẻ, đặc biệt là các thiếu nữ 9x. Một đôi mắt long lanh mở to khiến khuôn mặt của họ trở nên xinh đẹp và hấp dẫn hơn.
Bên cạnh đó, kính áp tròng còn có rất nhiều màu để các cô gái trẻ thỏa sức lựa chọn sao cho hợp màu môi, hợp màu tóc. Tuy nhiên, một chương trình điều tra mới đây đã cho thấy một số thương hiệu kính áp tròng (lens) ở Trung Quốc, đặc biệt là một số loại kính do những người bán hàng trực tuyến bán hay cả các cửa hàng phân phối độc quyền, đều được tìm thấy là có hại cho đôi mắt.
Dùng kính áp tròng sẽ gây mòn giác mạc
Truyền hình Trung ương Trung Quốc (CCTV) cho biết, trong một chương trình điều tra, các loại kính áp tròng với đủ màu sắc và kiểu dáng, kích cỡ khác nhau đang rất phổ biến trong giới trẻ và cả các phụ nữ trung tuổi đều rất có hại cho đôi mắt nếu là hàng giả, hàng kém chất lượng.
Báo cáo này cho rằng không chỉ kính áp tròng chất lượng kém với giá rẻ mới tiềm ẩn nguy cơ về sức khỏe mà cả các nhãn hiệu kính áp tròng đắt tiền được sản xuất bởi một số công ty nổi tiếng và rất phổ biến trên thị trường, được các cô gái trẻ cực kỳ ưa chuông cũng đã được tìm thấy là có tiềm năng gây hại.
Một thí nghiệm cho thấy rằng hầu như tất cả các kính áp tròng trên thị trường đều có thể gây mòn dần giác mạc của người dùng theo thời gian. Kính áp tròng có tuổi thọ dài hơn hoặc những người thường xuyên dùng kính áp tròng trong một thời gian dài có thể bị tổn hại nghiêm trọng hơn đối với giác mạc. Cũng theo thí nghiệm này thì kính áp tròng không màu ít có hại hơn.
Một số nhà sản xuất sản xuất kính áp tròng màu bằng cách áp các sắc tố trên bề mặt ống kính. Tuy nhiên, nếu những hạt màu này không đủ tiêu chuẩn y tế, nó có thể bị phai và gây ra các bệnh về mắt nghiêm trọng. Báo cáo cho biết thêm, đa số người dùng kính áp tròng sử dụng chúng trong hơn ba năm sẽ bị một bệnh về mắt.
Cũng trong tháng 8, Truyền hình Trung ương Trung Quốc (CCTV) cũng tiếp xúc với các nhà sản xuất các sản phẩm không đạt tiêu chuẩn sử dụng cho phẫu thuật thẩm mỹ. Bản báo cáo cho rằng việc thiếu hành động của các cơ quan giám sát đã tiếp tay cho các nhà sản xuất ngầm tung ra các sản phẩm kém chất lượng, giá rẻ gây tổn hại sức khỏe của người tiêu dùng. Khoảng 200.000 người đã bị biến chứng sau khi phẫu thuật thẩm mỹ trong khoảng thời gian 10 năm từ 2002 - 2012, do việc sử dụng các sản phẩm kém chất lượng.
