Bệnh viện Việt Nam - Cu Ba Đồng Hới phát thông cáo về ca bệnh hiếm gặp gây tử vong
Bệnh viện Việt Nam - Cu Ba Đồng Hới cho biết bệnh nhân mắc hội chứng Down, tim bẩm sinh tử vong do ca bệnh hiếm, diễn biến nặng dù đã cấp cứu tích cực.
Bệnh viện Hữu nghị Việt Nam - Cu Ba Đồng Hới
Ngày 18-1, Bệnh viện Hữu nghị Việt Nam - Cu Ba Đồng Hới (Quảng Trị) - đã phát đi thông cáo báo chí liên quan đến trường hợp bệnh nhân L.H.T.V. (SN 2010, trú xã Đồng Lê) có tiền sử hội chứng Down và tim bẩm sinh, tử vong sau quá trình cấp cứu và điều trị tại bệnh viện.
Theo Bệnh viện Hữu nghị Việt Nam - Cu Ba Đồng Hới, bệnh nhân L.H.T.V. được chuyển từ Bệnh viện Đa khoa khu vực Tuyên Hóa vào cấp cứu lúc 17 giờ 44 ngày 15-1 với chẩn đoán ban đầu theo dõi viêm tụy cấp.
Ngay sau khi tiếp nhận, ê-kíp y bác sĩ đã tiến hành thăm khám, thực hiện đầy đủ các xét nghiệm cần thiết, chỉ định chẩn đoán hình ảnh, đồng thời giải thích tình trạng bệnh và hướng xử trí chuyên môn cho gia đình người bệnh.
Đến khoảng 20 giờ 40 cùng ngày, bệnh nhân được chỉ định chụp cắt lớp vi tính (CT) ổ bụng có thuốc cản quang. Sau khi chụp, bệnh nhân xuất hiện đau bụng nhiều, bụng chướng, được chỉ định đặt sonde dạ dày và tiếp tục theo dõi, chờ kết quả cận lâm sàng.
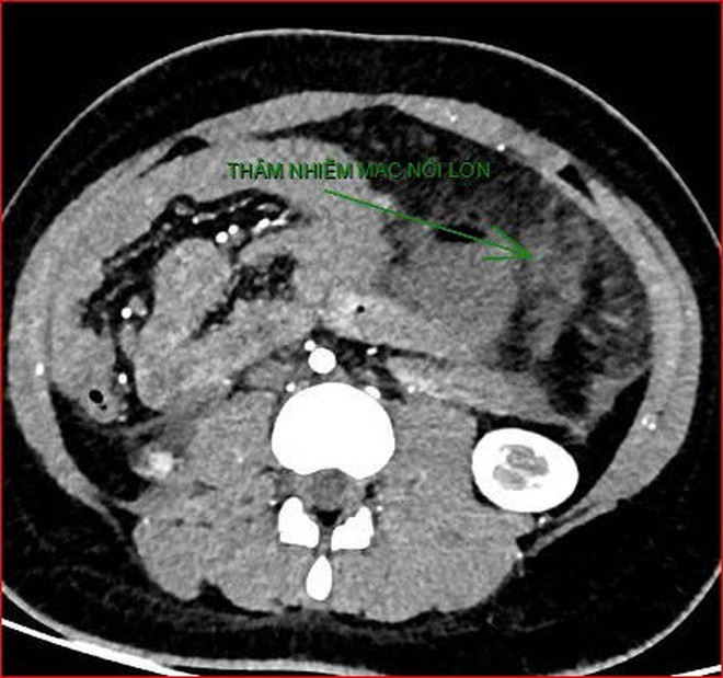
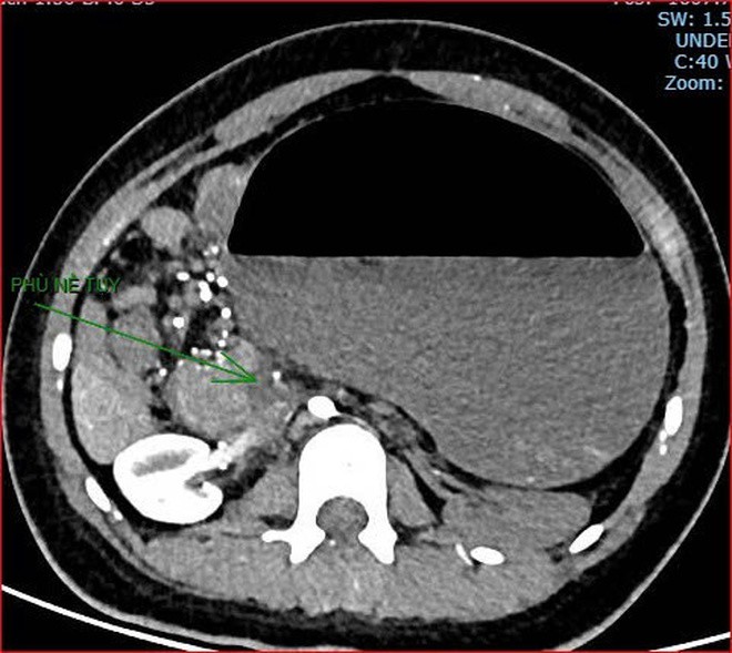
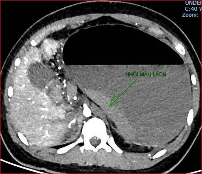
Khoảng 21 giờ 40, kết quả chụp CT cho thấy bệnh nhân rơi vào tình trạng cực kỳ nặng và hiếm gặp, bao gồm: xoắn dạ dày, nhồi máu thận trái, nhồi máu lách, viêm đầu tụy, viêm hỗng tràng, kèm dịch ổ bụng và tràn dịch màng phổi, trên nền bệnh nhân mắc hội chứng Down và tim bẩm sinh.
Hình ảnh chụp CT ổ bụng cho thấy dạ dày giãn lớn, xoắn bất thường; kèm tổn thương nhồi máu lách và viêm tụy trên nền ca bệnh hiếm, diễn biến đặc biệt nặng - Ảnh Bệnh viện cung cấp
Trước diễn biến nguy kịch, bệnh viện đã khẩn trương tổ chức hội chẩn liên khoa, với sự tham gia của các chuyên khoa Hồi sức tích cực - Chống độc, Cấp cứu, Ngoại tổng hợp, Chẩn đoán hình ảnh và Gây mê hồi sức.
Sau hội chẩn, bệnh nhân được chỉ định phẫu thuật cấp cứu. Tuy nhiên, trong quá trình chuẩn bị can thiệp, bệnh nhân xuất hiện suy hô hấp và ngừng tuần hoàn. Các bác sĩ đã tiến hành hồi sức tích cực, đặt nội khí quản, cấp cứu ngừng tuần hoàn nhiều lần theo đúng phác đồ chuyên môn.
Dù được cấp cứu và điều trị tích cực, do bệnh diễn tiến quá nặng và phức tạp, bệnh nhân đã tử vong lúc 23 giờ 47 ngày 15-1-2026.
Bệnh viện Hữu nghị Việt Nam - Cu Ba Đồng Hới khẳng định đã thực hiện đầy đủ, đúng quy trình chuyên môn trong toàn bộ quá trình tiếp nhận, chẩn đoán, điều trị và cấp cứu, với tinh thần trách nhiệm cao nhất. Đồng thời, bệnh viện bày tỏ sự chia sẻ sâu sắc trước mất mát của gia đình bệnh nhân.
Trước đó, trên mạng xã hội Facebook, xuất hiện một số thông tin chưa chính xác liên quan đến vụ việc, gây hiểu lầm và dư luận trái chiều. Bệnh viện đã phát đi thông cáo nhằm cung cấp thông tin chính thức, minh bạch, giúp người dân hiểu đúng bản chất sự việc.
Liên quan trường hợp nam sinh tử vong sau tai nạn giao thông tại Bệnh viện Đa khoa Bà Rịa, trưa 17/10, BS CKII Dương Thanh, Giám đốc Bệnh viện đã...
Nguồn: [Link nguồn]
-18/01/2026 12:07 PM (GMT+7)



