Niềng răng hô có cần nhổ răng không? Chuyên gia giải đáp
Niềng răng hô không nhất thiết phải nhổ răng, việc này tùy thuộc vào mức độ hô và cấu trúc hàm cụ thể của mỗi người." – Bác sĩ CKI Trần Thị Hải Yến, BS. Trưởng chỉnh nha hệ thống Nha khoa I-Dent.
Niềng răng hô có cần nhổ răng không?
Theo bác sĩ CKI Trần Thị Hải Yên - bác sĩ Trưởng chỉnh nha tại nha khoa I-Dent cho biết: “Niềng răng hô có cần nhổ răng hay không phụ thuộc hoàn toàn vào tình trạng răng miệng cụ thể và mục tiêu điều trị của bệnh nhân. Không phải ca niềng răng hô nào cũng bắt buộc phải nhổ răng”.
Cụ thể, ca niềng răng hô được bác sĩ sẽ chỉ định nhổ răng trong các trường hợp sau:
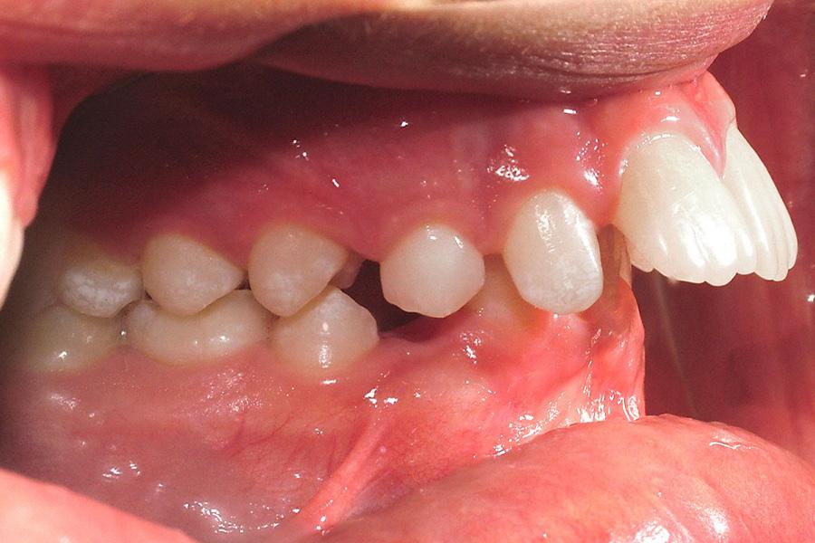
- Răng hô nặng: Khi hàm trên nhô ra quá nhiều so với hàm dưới, cần tạo thêm khoảng trống để dịch chuyển răng cửa về vị trí đúng, nhổ răng là giải pháp tối ưu.
- Răng mọc chen chúc: Cung hàm quá nhỏ, các răng chèn ép nhau không đủ chỗ sắp xếp lại. Lúc này, bác sĩ bắt buộc phải nhổ răng để tạo không gian cho các răng dịch chuyển về đúng vị trí.
- Răng khôn mọc lệch: Nếu răng số 8 cản trở quá trình dịch chuyển hoặc gây viêm lợi, bác sĩ sẽ loại bỏ trước khi bắt đầu chỉnh nha.
Tình trạng răng hô quá nặng, lệch quá nhiều so với hàm dưới.
Ngược lại, một số ca niềng răng hô không cần nhổ răng trong một số trường hợp sau:
- Hô nhẹ đến trung bình, cung hàm còn đủ rộng để dịch chuyển
- Răng thưa tự nhiên có khoảng trống sẵn có giúp bác sĩ kéo răng về mà không cần nhổ răng.
- Trẻ em, thanh thiếu niên đang trong giai đoạn phát triển xương hàm có thể dùng khí cụ nong hàm để tận dụng sự tăng trưởng tự nhiên
Bên cạnh đó, một số giải pháp kỹ thuật tiên tiến cũng giúp hạn chế tối đa việc nhổ răng khi niềng răng hô:
- Minivis (vít neo chặn): Một chiếc vít nhỏ cắm vào xương hàm, tạo điểm tựa để kéo răng lùi mà không cần nhổ răng lân cận.
- Nong hàm: Dụng cụ mở rộng cung hàm trên, tạo thêm không gian cho các răng về đúng vị trí.
- Mài kẽ răng (IPR): Phương pháp mài đi một lớp men mỏng ở kẽ răng để tạo khoảng hở nhỏ giúp răng di chuyển hiệu quả.
Kỹ thuật mài kẽ răng để tạo khoảng trống cho răng dịch chuyển trong chỉnh nha.
Chọn phương pháp niềng nào phù hợp với răng hô?
Hiện nay có 2 phương pháp niềng răng hô gồm niềng răng mắc cài kim loại và niềng răng Invisalign. Mỗi phương pháp đều có ưu điểm riêng biệt:
Niềng răng mắc cài kim loại
Niềng răng mắc cài kim loại là phương pháp niềng răng phổ biến được nhiều người lựa chọn nhất hiện nay, phù hợp với đa dạng mức độ hô từ nhẹ đến nặng, kể cả các ca phức tạp cần kiểm soát lực kéo lớn. Ưu điểm nổi bật của phương pháp này là chi phí hợp lý (từ 35–55 triệu đồng/2 hàm) và bác sĩ dễ kiểm soát quá trình dịch chuyển. Đây là phương pháp được ưu tiên trong các ca cần nhổ răng và di chuyển răng cự ly lớn.
Niềng răng mắc cài kim loại được nhiều người lựa chọn bởi có chi phí hợp lý.
Niềng răng trong suốt Invisalign
Niềng răng trong suốt Invisalign là phương pháp sử dụng khay trong suốt làm từ vật liệu SmartTrack độc quyền, gần như vô hình khi đeo, rất lý tưởng với người ưu tiên thẩm mỹ và sự tiện lợi trong công việc. Khay niềng có thể tháo ra khi ăn uống, vệ sinh dễ dàng và thời gian điều trị ngắn hơn mắc cài truyền thống 30–40%.
Ngoài ra, điểm ưu việt của phương pháp niềng răng Invisalign là bệnh nhân có thể thấy trước được nụ cười tương lai của mình và phác đồ điều trị trong lần thăm khám đầu tiên. Bệnh nhân cũng có thể chủ động đề xuất phác đồ không cần nhổ răng cùng bác sĩ.
Dù chọn mắc cài kim loại hay niềng răng Invisalign, điều quyết định kết quả chỉnh nha chính là trình độ bác sĩ và quy trình thăm khám. Một phác đồ điều trị được xây dựng cẩn thận trên nền tảng chụp CT Conebeam 3D, scan răng kỹ thuật số sẽ cho phép bác sĩ đánh giá chính xác niềng răng hô có cần nhổ răng hay không, tránh can thiệp không cần thiết.
Bác sĩ scan răng bằng máy Itero Lumia để thiết kế nụ cười và khay niềng trong suốt cho bệnh nhân.
Nếu bạn đang tìm kiếm một địa chỉ đáng tin cậy tại TP.HCM, nha khoa I-Dent là cái tên không thể bỏ qua với hơn 11 năm kinh nghiệm và 8.000 nụ cười đã được thay đổi. I-Dent là đối tác chiến lược chính thức của Tập đoàn Align Technology (Invisalign), trang bị máy scan iTero Lumia thế hệ mới nhất và đội ngũ bác sĩ chỉnh nha có chứng chỉ chuyên sâu quốc tế. Nha khoa này cũng cung cấp đầy đủ cả hai phương pháp mắc cài kim loại lẫn niềng răng Invisalign, phù hợp với mọi nhu cầu và ngân sách kèm chính sách trả góp 0% lãi suất linh hoạt.
Bệnh nhân niềng răng trong suốt Invisalign tại nha khoa I-Dent
Tóm lại, niềng răng hô có cần nhổ răng không — câu trả lời là: không nhất thiết. Chỉ khi có chỉ định rõ ràng từ bác sĩ sau thăm khám toàn diện, việc nhổ răng mới được thực hiện. Điều quan trọng là bạn cần được khám trực tiếp, chụp phim và tư vấn bài bản, thay vì tự phán đoán dựa trên thông tin chung chung.
Nguồn: [Link nguồn]
-27/03/2026 11:19 AM (GMT+7)




