Bernard tuân thủ nguyên tắc vàng trong nội soi Nhật Bản
Tại Nhật Bản, tỷ lệ phát hiện tổn thương tiền ung thư ở đại tràng luôn duy trì ở mức cao, nhờ vào yếu tố cốt lõi là bác sĩ được yêu cầu phải soi kỹ và quan sát đủ toàn bộ đại tràng với thời gian rút ống sớm nhất là phải bằng hoặc hơn 6 phút.Trong tình hình phổ biến ở Việt Nam, nội soi tiêu hoá thường bị xem nhẹ, thậm chí chỉ là một thủ thuật đơn giản cần nhanh, gọn và sớm có kết quả. Tuy nhiên khi hợp tác chuyên sâu với Nhật Bản, Bernard Healthcare dưới sự đồng hành của chuyên gia nội soi hàng đầu cam kết bảo đảm mỗi ca nội soi là một quy trình chuẩn mực, chính xác đến từng phút, từng khung hình.
Trong tình hình phổ biến ở Việt Nam, nội soi tiêu hoá thường bị xem nhẹ, thậm chí chỉ là một thủ thuật đơn giản cần nhanh, gọn và sớm có kết quả. Tuy nhiên khi hợp tác chuyên sâu với Nhật Bản, Bernard Healthcare dưới sự đồng hành của chuyên gia nội soi hàng đầu cam kết bảo đảm mỗi ca nội soi là một quy trình chuẩn mực, chính xác đến từng phút, từng khung hình.
Bác sĩ Kinoshita Koshi & Điều dưỡng Kentaroh Ouchi, Bệnh viện Trung ương Kyoto Min-iren định kỳ kiểm tra chất lượng nội soi tiêu hóa chuẩn Nhật tại Bernard
Nguyên tắc số 1: soi kỹ, soi đủ, soi không bỏ sót
Trong ngày làm việc thứ hai của đoàn chuyên gia giám sát từ Bệnh viện Trung ương Kyoto Min-iren (Nhật Bản), điều khiến ekip nội soi Bernard “thở phào” là khi quyết định kéo dài tới 30 phút để tỉ mỉ xem xét video ghi lại một trường hợp bệnh nhân có nhiều nghi vấn và được những người thầy ngợi khen.
Thời gian qua, tuân thủ chuẩn Nhật Bản, Bernard đã nghiêm túc đảm bảo nguyên tắc soi kỹ, soi đủ và soi không bỏ sót. Điều đáng nói là trong mỗi ca soi, bác sĩ không chỉ cố gắng hoàn thành thủ thuật nhanh – mà dành thời gian gấp đôi trung bình thông thường nhằm đảm bảo quan sát kỹ từng vị trí dễ bị bỏ sót: các góc giải phẫu, đáy manh tràng, trực tràng thấp, …; Làm sạch hoàn toàn đại tràng trước khi đánh giá hình ảnh và sau cùng là ghi hình bằng video toàn bộ quá trình, lưu để xem lại hay nếu cần kiểm tra chéo.
Hệ thống nội soi hiện đại tại Bernard giúp bác sĩ quan sát rõ từng tổn thương niêm mạc ruột
Bác sĩ Kinoshita Koshi - chuyên gia nội soi cao cấp từ Bệnh viện Trung ương Kyoto Min-iren, cũng cho biết: “Ở Nhật, một ca nội soi dạ dày nếu nhanh hơn 6 phút là không đạt. Nhưng quan trọng hơn là bác sĩ cần biết vì sao mình phải soi kỹ như vậy – vì một tổn thương nhỏ bị bỏ sót có thể trở thành ung thư sau vài năm”.
Lợi thế là toàn bộ hệ thống nội soi tại Bernard đều được cấu hình sẵn để ghi lại video full HD từ lúc bắt đầu đến khi kết thúc. Đây là điều không phổ biến tại nhiều đơn vị nội soi tại Việt Nam hiện nay, nơi bác sĩ thường chỉ chụp vài hình ảnh để minh hoạ.
Một ca soi - nhiều lớp kiểm tra
Mỗi ca nội soi tại Bernard hiện nay được áp dụng ít nhất 3 lớp kiểm tra chéo, bao gồm: (1) Bác sĩ tự xem lại; (2) Bác sĩ lâm sàng xem lại và đối chiếu lâm sàng; (3) Hội đồng y khoa và kiểm tra chéo định kỳ ngẫu nhiên – trực tiếp hoặc thông qua video. Điều này giúp hạn chế tối đa rủi ro bỏ sót tổn thương, đồng thời xây dựng được văn hóa soi đúng ngay từ đầu và chịu trách nhiệm đến cùng cho mỗi ca soi.
Bác sĩ Kinoshita, TS - BS. Phạm Nguyên Quý cùng thảo luận chuyên môn trên từng ca lâm sàng tại Bernard
Từ tháng 8/2025, Bernard đã triển khai việc giám sát chất lượng nội soi realtime từ Nhật Bản, có thể thực hiện định kỳ hoặc trong những trường hợp có yêu cầu cụ thể. Thông qua hệ thống truyền hình ảnh nội soi trực tiếp kết nối bảo mật với Bệnh viện Trung ương Kyoto Min-iren, các chuyên gia tại Nhật có thể quan sát trực tiếp ca soi đang diễn ra tại Bernard; Hướng dẫn bác sĩ đổi góc, bơm rửa thêm, kiểm tra lại vùng nghi ngờ và sau đó cùng nhau đưa ra quyết định sinh thiết, đánh giá nguy cơ. Việc này cũng mang lại cảm giác an tâm hơn đối với ekip nội soi Bernard khi có những người thầy Nhật Bản đồng hành thật sự trong từng ca bệnh cụ thể.
Tất nhiên không chỉ giúp bác sĩ cải thiện kỹ năng, việc soi kỹ còn trực tiếp mang lại nhiều lợi ích cho người bệnh, như phát hiện sớm polyp hoặc tổn thương tiền ung thư; Giảm tỷ lệ bỏ sót, đặc biệt ở người từng nội soi trước đó nhưng chưa kỹ; Có lộ trình theo dõi cụ thể sau soi, tránh tâm lý “soi rồi là xong”…
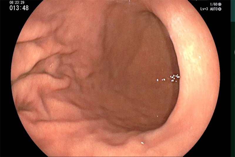
Một ca nội soi tiêu hóa tại Bernard cho thấy niêm mạc nhợt, mỏng, lộ rõ mạch máu
Một bệnh nhân 48 tuổi sau ca nội soi sáng 23/7 cũng tâm sự: “Lần trước tôi nội soi đại tràng ở chỗ khác tổng cộng chỉ khoảng 10 phút, bác sĩ nói bình thường. Lần này tại Bernard soi kỹ hơn, còn cho tôi xem video đoạn niêm mạc hơi bất thường. Bác sĩ tư vấn rất rõ và nhẹ nhàng. Tôi cảm thấy yên tâm hơn rất nhiều”.
Theo các chuyên gia Nhật Bản, ung thư tiêu hóa không đến bất ngờ mà phát triển âm thầm qua nhiều năm từ những tổn thương nhỏ, phẳng, gần như không có triệu chứng. Vì thế nếu một lần nội soi kỹ có thể phát hiện kịp thời thì đó là sự đầu tư đáng giá nhất cho sức khỏe tương lai.
Nguồn: [Link nguồn]
-14/08/2025 06:52 AM (GMT+7)



