Thường xuyên uống trà sữa, nam thanh niên 20 tuổi nguy kịch vì tắc ruột
Chị Trần Thị Đ – mẹ của nam thanh niên cho biết, L. có lối sống ăn uống thiếu khoa học, rất hay bỏ bữa và thường xuyên uống trà sữa.
Ngày 21/8, Bệnh viện đa khoa tỉnh Phú Thọ cho biết, bệnh viện tiếp nhận trường hợp người bệnh N. L, 20 tuổi, trú tại xã Bằng Luân, huyện Hạ Hòa, tỉnh Phú Thọ trong tình trạng đau bụng nhiều, nôn và bí trung đại tiện.
Qua tìm hiểu thông tin, chị Trần Thị Đ – mẹ người bệnh cho biết: Người bệnh có lối sống ăn uống thiếu khoa học, rất hay bỏ bữa và thường xuyên uống trà sữa.
Hình ảnh bã thức ăn trong khi mổ
Khoảng 2 tuần trở lại đây, L. có biểu hiện đau bụng và đau ngày một tăng lên, người nhà đã nhanh chóng đưa vào bệnh viện tuyến huyện thăm khám. Sau 5 ngày điều trị, tình trạng người bệnh không được cải thiện nên đã được chuyển lên Bệnh viện đa khoa tỉnh Phú Thọ.
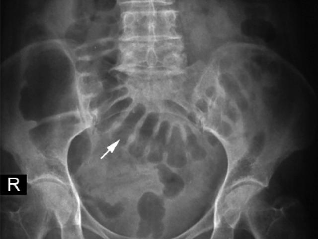
Qua thăm khám và làm các chỉ định cận lâm sàng cho thấy có hình ảnh tắc ruột và các quai ruột giãn to.
Các bác sỹ Đơn vị Ngoại – Trung tâm Khám chữa bệnh chất lượng cao đã nhanh chóng phẫu thuật cho người bệnh. Trong quá trình phẫu thuật, các bác sỹ thấy có 2 khối bã thức ăn rất lớn trong dạ dày và ruột non. Tuy nhiên khối thức ăn này cứng và không bóp nát được nên các bác sỹ phải mổ dạ dày và mở ruột để lấy khối bã thức ăn ra ngoài.
Hình ảnh khối bã thức ăn được lấy ra ngoài.
Thạc sỹ, bác sỹ Trần Thanh Tùng – Phó trưởng Đơn vị Ngoại – Trung tâm Khám chữa bệnh chất lượng cao – Bệnh viện đa khoa tỉnh Phú Thọ cho biết, L. chẩn đoán sau mổ là tắc ruột do bã thức ăn.
Rất may trường hợp người bệnh L đã được phát hiện và xử lý kịp thời. Tình trạng tắc ruột nếu phát hiện muộn, không được phẫu thuật sớm thì nguy cơ nhiễm trùng độc, hoại tử ruột, suy đa tạng là rất cao, thậm chí gây tử vong.
Sau hơn 1 tiếng trong phòng mổ, ca phẫu thuật diễn ra khá thuận lợi và thành công. Người bệnh sau mổ đã được theo dõi và hồi sức tích cực, khoảng sau 1 tuần thì sẽ được ra viện.
Qua đây, bác sỹ Tùng cũng cho biết: Hằng năm tại đơn vị tiếp nhận khá nhiều trường hợp người bệnh bị tắc ruột chủ yếu do ăn uống thiếu khoa học gây nên. Bởi vậy để tránh những điều đáng tiếc có thể xảy ra, người bệnh cần có một chế độ ăn uống hợp lý như ăn chín uống sôi, hạn chế đồ ăn nhanh và chế biến sẵn, hạn chế uống các loại nước có cồn và ga, đặc biệt nên hạn chế loại nước uống đang được giới trẻ rất ưa chuộng là trà sữa trân châu. Mọi người cũng nên tẩy giun theo định kỳ.
Ông Nguyễn Văn K. (78 tuổi ở Hà Nội) có thói quen ăn nhiều chất xơ để tốt cho tiêu hóa, đặc biệt món khoái khẩu của...



