Đau ngực dữ dội, thanh niên TQ sốc với thứ mình nuốt phải
Tuần trước, một người đàn ông Trung Quốc nhập viện trong tình trạng đau ngực dữ dội và bị sốc khi các bác sĩ nói nguyên nhân gây ra cơn đau đớn này.
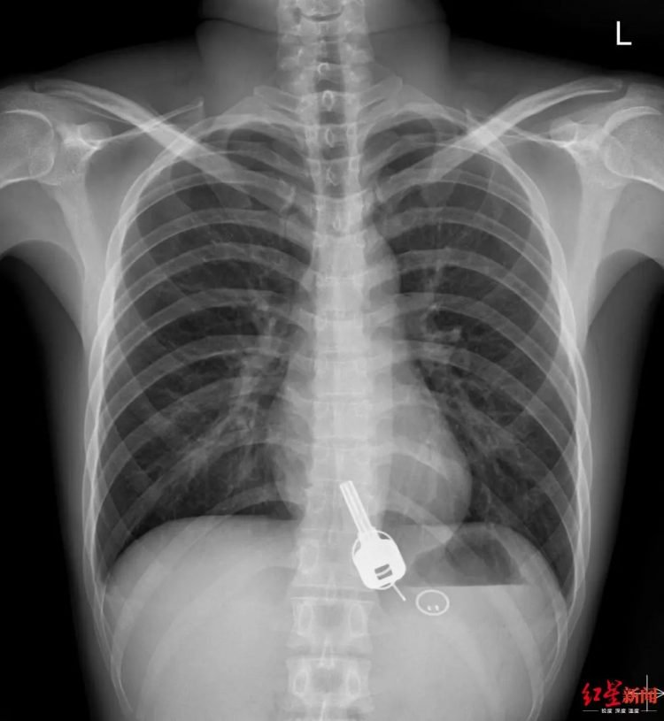
Chiếc chìa khóa mà nam thanh niên Trung Quốc nuốt phải.
Theo Oddity Central, hôm 7.6, người đàn ông tên Chang đến từ Quảng Đông, Trung Quốc, ra ngoài uống bia với bạn vì hôm đó là cuối tuần.
Khi về nhà, Chang tìm mãi mà không thấy chìa khóa đâu. Anh ta phải gọi cho người ở trong mở cửa cho mình vào nhà.
Chang khi đó quá say nên tiến thẳng đến giường ngủ mà không biết gì nữa. Sáng hôm sau, Chang bị những cơn đau ngực dữ dội hành hạ. Người đàn ông đến bệnh viện địa phương kiểm tra.
Ảnh chụp X-quang cho thấy chìa khóa nằm trong cơ thể Chang.
Kết quả chụp X-quang cho thấy có hình chìa khóa in rõ trong cơ thể Chang. Chang nói với các bác sĩ rằng đúng là mình bị mất chìa khóa, nhưng không hiểu vì sao nó lại nằm trong cơ thể.
Trang Sohu đưa tin, Chang đã rất sốc khi các bác sĩ cho anh ta xem ảnh chụp X-quang. Các bác sĩ nói chìa khóa quá lớn, xâm nhập qua đường tiêu hóa, nên để nó thải ra theo cách bình thường rất khó
Quá trình nội soi, gắp dị vật không thành công. Các bác sĩ gây mê phải dùng thuốc giãn cơ để giúp Chang thư giãn và dễ dàng hơn trong việc gắp dị vật khỏi thực quản.
Sự việc đã được giải quyết nhưng bí ẩn về việc làm thế nào Chang nuốt chìa khóa mà không hay biết thì vẫn chưa có câu trả lời. Chang quả quyết rằng mình không nhớ điều gì xảy ra trong đêm đó.
Chú chó trung thành ngăn cản những người qua đường và cảnh sát đánh thức chủ say xỉn của nó đang nằm ngủ giữa đường.


